症例詳細
Case detail
インプラント 失った奥歯の欠損補綴
治療症例の内容
- 患者様
- 50代男性
- 治療期間
- 9ヶ月
- 治療回数
- 5-10回
- 治療計画
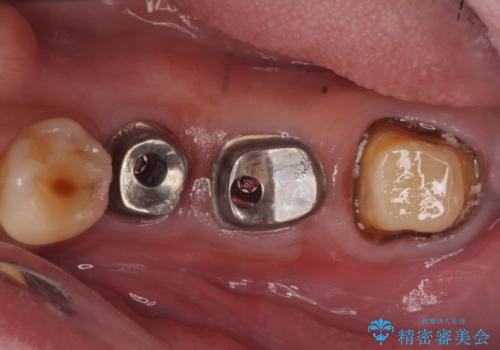
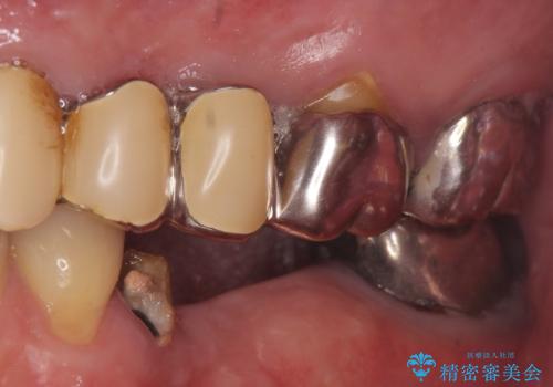
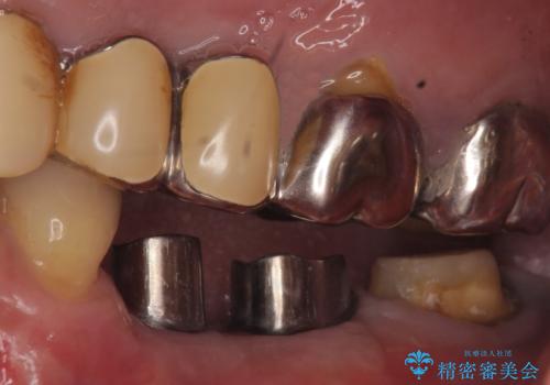
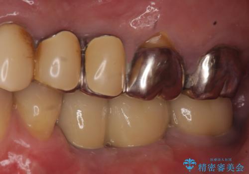
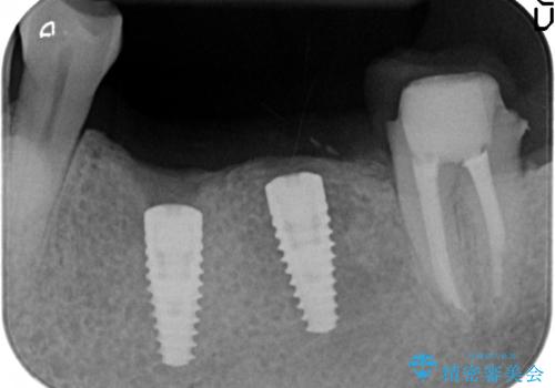
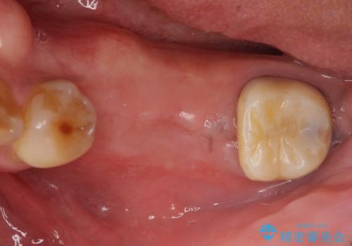
- 左下奥歯が虫歯で抜歯になってしまったため、インプラントにしたいといらっしゃった方の症例です。
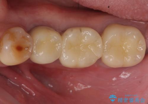
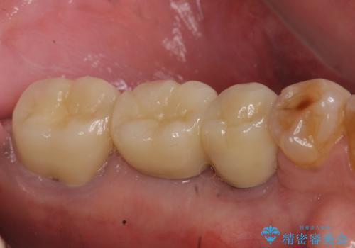
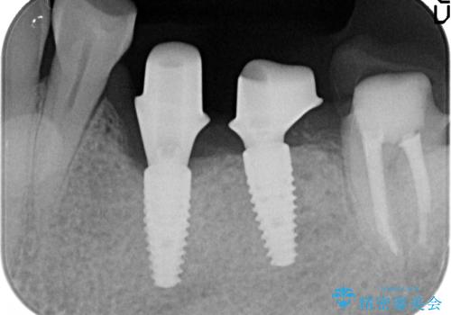
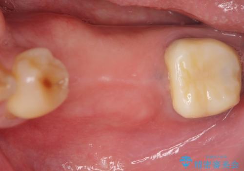
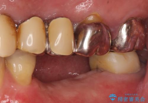
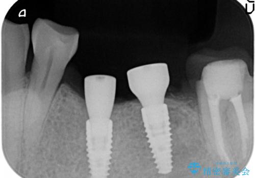
欠損部位である左下5、6番目にインプラントを埋入し、オールセラミッククラウンによる補綴を行いました。
左下7番目は再根管治療を行い、オールセラミッククラウンによる補綴を行いました。
- 費用(概算)
- オールセラミッククラウン…¥100,000×3、仮歯…¥10,000×3、インプラント(ストローマン)…¥200,000×2、カスタムアバット…¥100,000×2、ファイバーコア…¥20,000、根管治療費別途費用は治療当時の料金となります
ストローマンについて
当院では主にストローマンという種類のインプラントを治療に用いています。
ストローマンは世界的にもNo1のシェアを誇り、骨との適合にも優れたインプラントです。
カスタムアバットメントについて
カスタムアバットメントは患者様それぞれの歯茎に合わせて製作されたオーダーメイドのアバットメントです。
既製のアバットメントに比べ適合がよく、高い清掃性を誇ります。
オールセラミッククラウンについて
今回用いたオールセラミッククラウンはジルコニアフレームという白い素材の上にセラミックを盛っているため、審美性が非常に高いのが特徴です。
また、ジルコニアは人工ダイヤモンドの材料にも使われているほど高い強度を持っており、そのためオールセラミッククラウンは審美性だけでなく、奥歯やブリッジの補綴も可能とするクラウンです。
インプラント治療の注意事項(リスク・副作用など)
- 外科手術のため、術後に痛みや腫れ、違和感を伴います
- メンテナンスを怠ったり喫煙により、お口の中に大きな悪影響を及ぼすインプラント周囲炎等にかかる可能性があります
- 糖尿病、肝硬変、心臓病等の場合、インプラント治療ができない可能性があります
- 高血圧、貧血・不整脈等の場合、インプラント治療後に治癒不全を招く可能性があります
- 自費診療(保険適用外治療)となります
根管治療の注意事項(リスク・副作用など)
- 根管治療により類似の全ての症例の問題が解決するわけではなく、症例はあくまでも一例です
- 根管治療により痛みや腫れがひかない事や、術後に痛みや腫れが生じる事、治療によるファイル破折やパーフォレーションなどの偶発症、術後の歯根破折を生じる可能性もあります
- 自費診療(保険適用外)となります
セラミック治療の注意事項(リスク・副作用など)
- 天然歯を削ります
- 硬い素材は天然歯を傷つけてしまう場合があります
- かみ合わせや歯ぎしりが強すぎる方はセラミックが割れてしまう可能性があります
- 自費診療(保険適用外治療)となります
当サイトの内容、テキスト、画像等の無断転載、複製、複写、盗用を固く禁じます。






























