症例詳細
Case detail
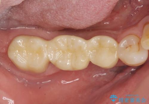
歯の破折 フルジルコニアブリッジ補綴
治療症例の内容
- 診療科目
 
- 治療カテゴリ
 
- 担当医
 - 大元洋佑(ドクタープロフィール)
 
- 患者様
 - 50代男性
 
- 治療期間
 - 5ヶ月
 
- 治療回数
 - 2-5回
 
- 治療計画
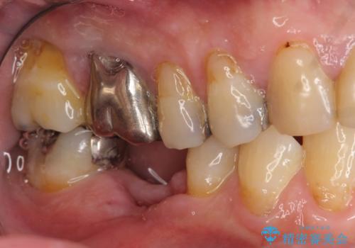
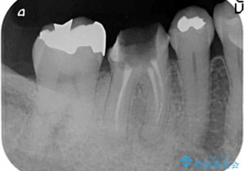
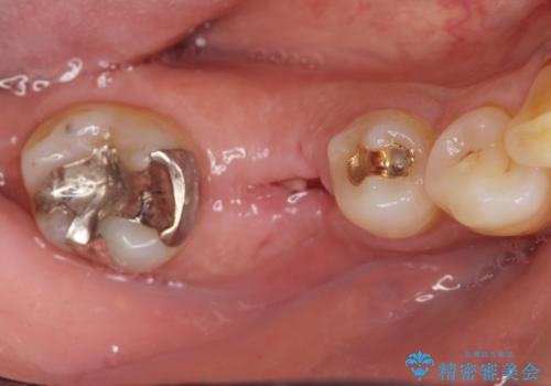
 - 銀歯がダツリし、支える歯が破れている状態で抜歯を余儀なくされました。
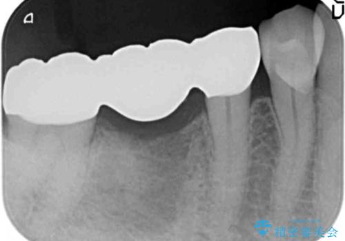
短期間での咬合昨日の回復、手術を希望されなかったのでブリッジによる咬合機能回復を計画します。
かみ合わせが強いのでフルジルコニアクラウンベレッツァを用いたブリッジを製作。 
- 費用(概算)
 - 24万円(仮歯・フルジルコニアクラウン×3)費用は治療当時の料金となります
 
ブリッジ治療について
ブリッジは抜歯した当日に仮歯を装着できるのでインプラントや義歯と比べ早期に咬合機能が回復可能です。
セラミック治療の注意事項(リスク・副作用など)
- 天然歯を削ります
 - 硬い素材は天然歯を傷つけてしまう場合があります
 - かみ合わせや歯ぎしりが強すぎる方はセラミックが割れてしまう可能性があります
 - 自費診療(保険適用外治療)となります
 
当サイトの内容、テキスト、画像等の無断転載、複製、複写、盗用を固く禁じます。

                      
                                                          





