症例詳細
Case detail
金属のかぶせ物をセラミックへ 根管治療からの再治療
治療症例の内容
- 診療科目
- 治療カテゴリ
- 担当医
- 患者様
- 60代女性
- 治療期間
- 1年
- 治療回数
- 2-5回
- 治療計画
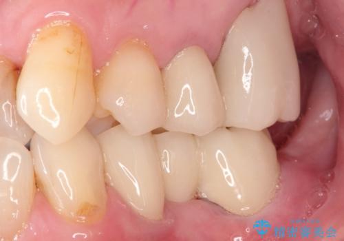
- 全体的に治療必要なところはを再治療したいとのことで来院されました。
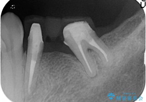
左側の上下の奥歯に適合が悪く、レントゲン上でも根の治療が必要なところがありました。
再治療を行いました。
- 費用(概算)
- 約80万円費用は治療当時の料金となります
治療について
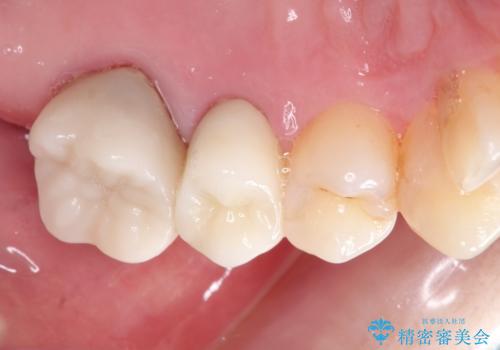
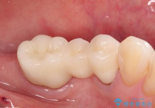
根管治療からの再治療を行ったことにより、治療期間が多少長くなりましたが、今後再治療の必要性があまりないような、精度の高い治療ができました。
セラミック治療の注意事項(リスク・副作用など)
- 天然歯を削ります
- 硬い素材は天然歯を傷つけてしまう場合があります
- かみ合わせや歯ぎしりが強すぎる方はセラミックが割れてしまう可能性があります
- 自費診療(保険適用外治療)となります
当サイトの内容、テキスト、画像等の無断転載、複製、複写、盗用を固く禁じます。
















