症例詳細
Case detail
中学生のマウスピース矯正 歯を抜かずにキレイに
治療症例の内容
- 担当医
- 井上季実子(ドクタープロフィール)
- 患者様
- 10代女子
- 矯正装置
- インビザライン フル
- 治療期間
- 1年11ヶ月
- 治療回数
- 10-30回
- 治療計画
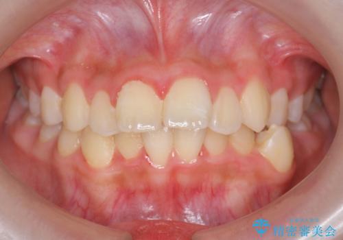
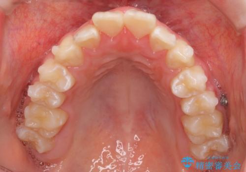
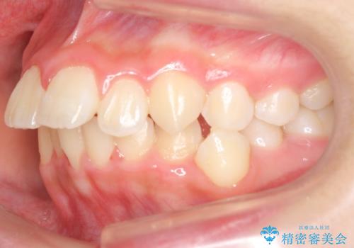
- 出っ歯を主訴に来院。
(1)インビザラインで歯を少し削って並べる。歯は抜かない。・・・歯を抜かなくて良い。歯磨きが楽、装置も目立たない。通院は3ヶ月に1回。
(2)上下左右4本歯を抜いてワイヤー矯正・・・口元を大きく下げられる。抜歯を4本する必要がある、ワイヤーが目立つ、歯磨きが大変になる、毎月の通院
を提示し、(1)を選択されました。
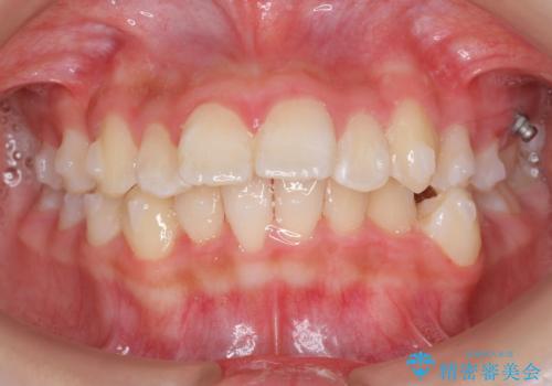
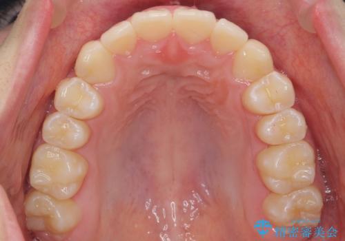
非抜歯ながらも、矯正用のインプラントを使用し、出来るだけ前歯を下げるように工夫して治療しました。
マウスピース矯正では難しいと断られた方、症状によっては十分キレイに治りますので、ぜひご相談ください。
マウスピース治療を取り入れず、いつまでもワイヤーに固執して、技術革新についていけない、不勉強な年配のドクターは、「マウスピースではきちんと治らない」と患者様に伝えることがありますので、注意が必要です。
残念ながら、矯正を専門としていようが、関係ありません。
「マウスピース治療をやったことがないから、わからない」と言えないのです。
人生で一度の矯正です。高額な治療で失敗しないためにも、少しでも疑問を感じたら、諦めずに、他の病院も回ってみましょう。
- 費用(概算)
- 95万円費用は治療当時の料金となります
治療について
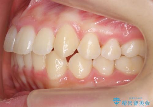
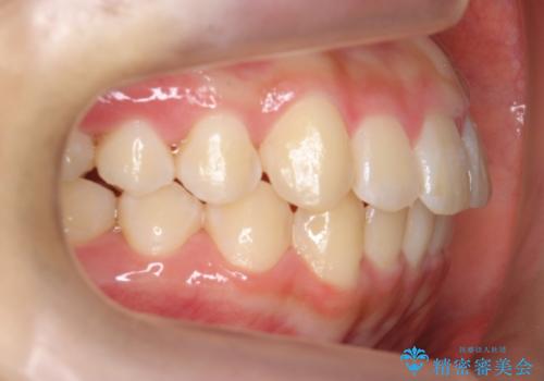
治療結果にはお母様、ご本人も含め、大変喜んでいただきました。
歯を抜かずに治療しましたが、治療前後で口元が悪化しないように治療することができました。
マウスピース矯正の注意事項(リスク・副作用など)
- 口腔内・歯並びの状態によっては対応できない場合があります
- マウスピース型矯正装置の長時間装着(1日20時間以上)が必須です
- 治療計画通りに進めるためには、患者様の意志が重要になります
- 矯正治療後の保定が不十分だと後戻り(元の位置に戻ろうとする動き)をします
- 薬機法対象外の矯正歯科装置のため医薬品副作用被害救済制度の対象外となる場合があります
- 自費診療(保険適用外)となります
当サイトの内容、テキスト、画像等の無断転載、複製、複写、盗用を固く禁じます。





















