症例詳細
Case detail
えっ シワが矯正で消えちゃう・・・? ボトックスから卒業しよう
治療症例の内容
- 担当医
- 井上季実子(ドクタープロフィール)
- 患者様
- 30代女性
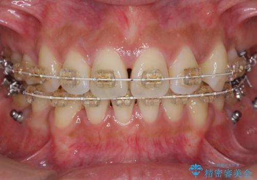
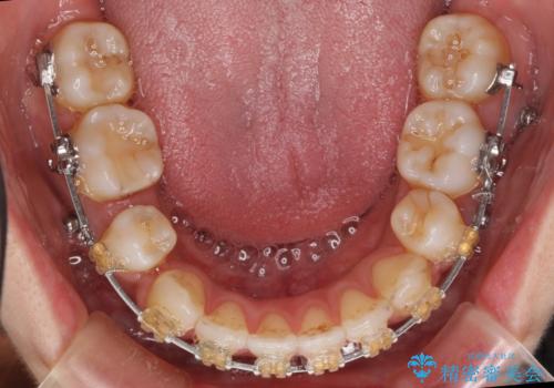
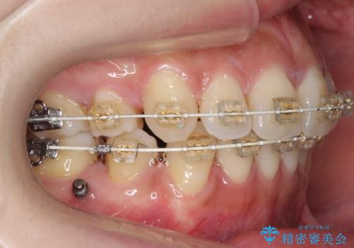
- 矯正装置
- 審美装置
- 治療期間
- 3年5ヶ月
- 治療回数
- 10-30回
- 治療計画
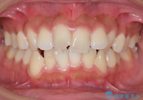
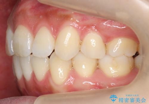
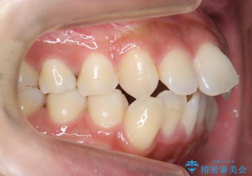
- 前歯を下げたい、口が楽に閉じられない、シワが寄ってしまうと来院。
上下左右の小臼歯を抜いて、前歯をしっかり下げています。
インプラント矯正を行い、歯を抜いた分、前歯を最大限に下げる治療を行いました。
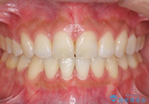
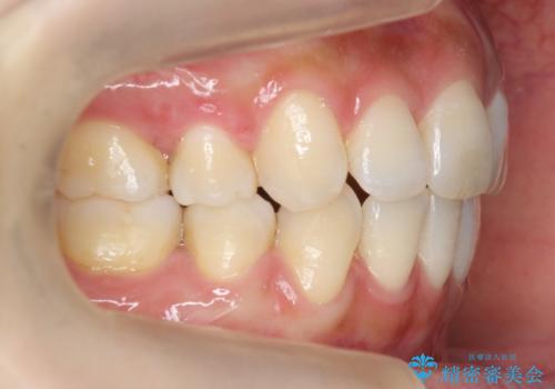
治療前後の口元が大きく印象が変わったのがわかります。
口を閉じた時にオトガイ部(顎の先)にシワができていたのが、自然と無くなっています。
出っ歯の方は、上の歯が前に出ている為に、上唇が持ち上がってしまうので、唇を閉じようとすると下唇を大きく意識的に引き上げなくてはなりません。
矯正治療で前歯を引っ込めますと、そこまで下唇を持ち上げなくても口を楽に閉じることができる為、シワが寄らなくなります。
そもそものシワの原因にアプローチしている為、効果は永続的です。
美容整形という手段もありますが、ご自身の天然の歯を矯正治療でしっかり並べる方が、後々までずっとボトックスを打ち続けたりするようなずっとお金がかかる処置ではありません。また、出ている口元に合わせてオトガイに人工物を入れて前に出すよりもメンテナンスはずっと楽なはずです。
ワイヤー矯正は一見大変そうですが、慣れてしまえばなんてことはなく、その後のメンテナンスのことを考えると一つの選択肢であると思います。
- 費用(概算)
- 95万円費用は治療当時の料金となります
治療について
治療前は意識しないと口が閉じれないような状態でした。
治療後は楽に唇が閉じられるようになっています。
ワイヤー矯正の注意事項(リスク・副作用など)
- 治療中は違和感や痛みが起こることがあります
- 症状により、抜歯が必要な場合があります
- 治療中は歯磨きがしにくくなるため、虫歯や歯周病になりやすくなります
- 矯正治療後の保定が不十分だと後戻り(元の位置に戻ろうとする動き)をします
- 自費診療(保険適用外)となります
当サイトの内容、テキスト、画像等の無断転載、複製、複写、盗用を固く禁じます。























