症例詳細
Case detail
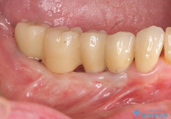
奥歯のインプラント治療
治療症例の内容
- 治療カテゴリ
- 担当医
- 大元洋佑(ドクタープロフィール)
- 患者様
- 50代女性
- 治療期間
- 8ヶ月
- 治療回数
- 5-10回
- 治療計画
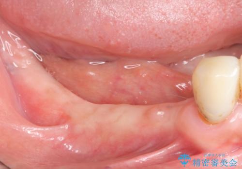
- 奥歯を失い噛めない、しっかりと噛めるようになりたいと希望され来院されました。
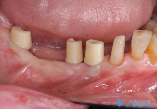
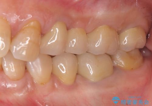
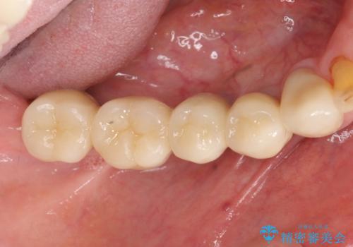
清掃性に優れたジルコニアカスタムアバットメント、ジルコニアクラウンを用いて機能性だけでなく審美性・予知性を高めます。
- 費用(概算)
- 130万円(HAインプラント×3・骨造成・ジルコニアカスタムアバットメント×3・ジルコニアクラウン×4)費用は治療当時の料金となります
奥歯を多数失った場合
入れ歯やインプラントによる咬合機能回復が方法として挙げられますが、両者の咀嚼能力には大きな差があります。
インプラント治療の注意事項(リスク・副作用など)
- 外科手術のため、術後に痛みや腫れ、違和感を伴います
- メンテナンスを怠ったり喫煙により、お口の中に大きな悪影響を及ぼすインプラント周囲炎等にかかる可能性があります
- 糖尿病、肝硬変、心臓病等の場合、インプラント治療ができない可能性があります
- 高血圧、貧血・不整脈等の場合、インプラント治療後に治癒不全を招く可能性があります
- 自費診療(保険適用外治療)となります
当サイトの内容、テキスト、画像等の無断転載、複製、複写、盗用を固く禁じます。








