症例詳細
Case detail
抜かない矯正 大学生で乳歯が残っている
治療症例の内容
- 診療科目
- 担当医
- 井上季実子(ドクタープロフィール)
- 患者様
- 10代女性(大学生)
- 矯正装置
- 審美装置
- 治療期間
- 1年4ヶ月
- 治療回数
- 10-30回
- 治療計画
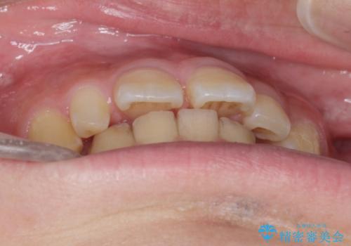
- 他院で乳歯が残っていると指摘され、矯正治療を希望して来院。
 
 上に乳歯が2本抜けずに残っていました。
 乳歯の奥には永久歯が埋まっており、乳歯の根は永久歯に大きく吸収されてしまっていました。
 
 そのままだと、乳歯の根が短いため、一生はおそらくもたない状況でした。
 乳歯を抜いたとしても、レントゲンからすると向きや方向からして、永久歯が自然に良い位置に生えてくるのは難しい状況でした。
 
 そこで、乳歯を抜いて、埋まっていた永久歯を矯正治療で並べました。
 大きな乳歯が残っていたため、ずれてしまっていた上下のかみ合わせもきっちり治しています。
 
 乳歯の方が、永久歯より大きかったため、余った隙間も閉じています。
 
- 費用(概算)
- 80万~費用は治療当時の料金となります
治療について
根の短い乳歯を抜歯し、埋まっていた永久歯を正しい向きと位置に並べることで、より永続性がみこめる歯並びとなりました。
ワイヤー矯正の注意事項(リスク・副作用など)
- 治療中は違和感や痛みが起こることがあります
- 症状により、抜歯が必要な場合があります
- 治療中は歯磨きがしにくくなるため、虫歯や歯周病になりやすくなります
- 矯正治療後の保定が不十分だと後戻り(元の位置に戻ろうとする動き)をします
- 自費診療(保険適用外)となります
当サイトの内容、テキスト、画像等の無断転載、複製、複写、盗用を固く禁じます。








 
                       
                                                          




















 
                   
                   
                  