症例詳細
Case detail
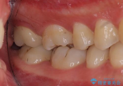
奥歯の虫歯 特殊な形をした歯の治療
治療症例の内容
- 診療科目
- 治療カテゴリ
- 担当医
- 井上季実子(ドクタープロフィール)
- 患者様
- 10代女子
- 治療期間
- 2ヶ月
- 治療計画
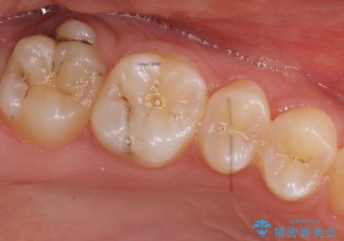
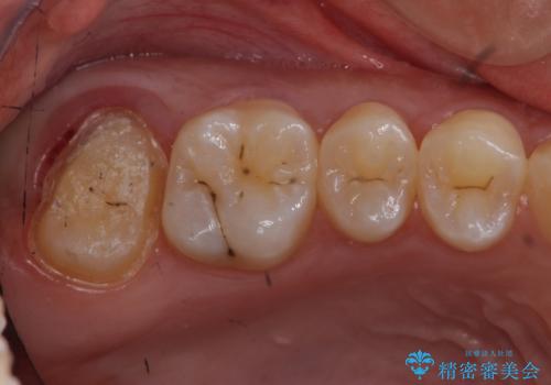
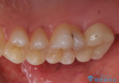
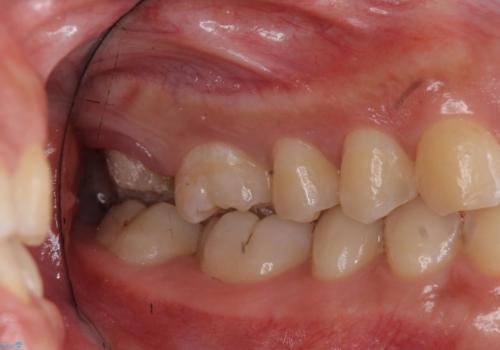
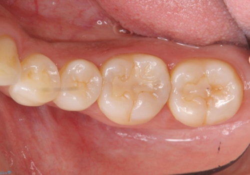
- 奥歯が虫歯になり、位置的に詰め物は難しかったため、被せものにする治療を行いました。
- 費用(概算)
- 11万円 ジルコニアクラウンスタンダード10万円、仮歯1万円費用は治療当時の料金となります
治療について
頬側に咬頭が一つ多い歯であったのと、歯肉に近い位置が虫歯になっていたため、被せものでしっかり覆う治療を行いました。
セラミック治療の注意事項(リスク・副作用など)
- 天然歯を削ります
- 硬い素材は天然歯を傷つけてしまう場合があります
- かみ合わせや歯ぎしりが強すぎる方はセラミックが割れてしまう可能性があります
- 自費診療(保険適用外治療)となります
当サイトの内容、テキスト、画像等の無断転載、複製、複写、盗用を固く禁じます。











