症例詳細
Case detail
スピード矯正 天然の歯を残す治療
治療症例の内容
- 診療科目
- 担当医
- 井上季実子(ドクタープロフィール)
- 患者様
- 20代女性
- 治療期間
- 1年8ヶ月
- 治療回数
- 10-30回
- 治療計画
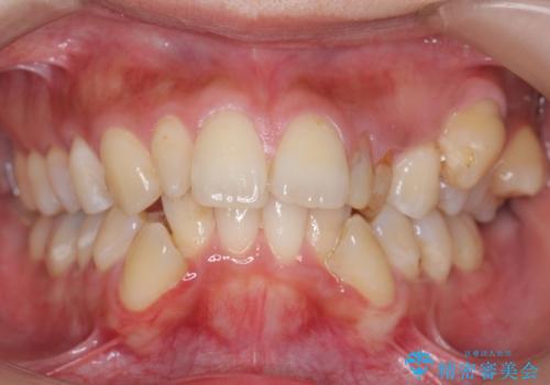
- 前歯のならびを主訴に来院。
がたがたが多く、口元も出せないためやむなく抜歯しましたが、その際、通常は上は前から4番目の歯を抜くところを、左右とも金属の詰め物がある5番目の歯を抜いて治療しました。
5番目を抜いて治療するということは、何が違うの?と思われるかもしれません。
実は、4番目と5番目のどちらを抜くかで矯正治療の内容が大幅に変わってきます。
出っ歯の治療で4番目を抜かずに5番目を抜く、ということは、矯正治療を行っているものからすると大変なことなのです。
下げる歯の数が6本から8本に増えるため、治療期間が延びますし、何より前歯が下がりにくくなったり、奥歯が前に倒れこんだりと仕上がりが悪くなったりします。
(奥6本を支えに前6本を引っ張るところを、4本で前の8本を下げなければならなくなる)
そこを天然の歯を残し、すでに削ってある5番目の歯を抜歯した上で、口元も改善し、治療期間を4番目を抜いたのと変わらない(20代の大人で抜歯ではむしろ短い)期間で終了することができました。
転勤の可能性があったため、毎回の治療時間を長く取り、期間を短縮する工夫をしました。
また、矯正用ミニスクリューも用いて、できる限り前歯が下がるように治療しました。
- 費用(概算)
- 80万~費用は治療当時の料金となります
治療後の感想
矯正を始めてから約1年半で装置が外せると思っていなかったのでとても嬉しいです!!
どのくらい歯が動いたのかわかるように、毎月調整後に撮る写真をいただけるとより経過がわかって意識が高まって良かったと思いました。(ゴムのつけ忘れなど・・・)
治療について
スクリューを用いることで天然の歯を残すことができました。いい時代になりましたね・・・
治療中も写真を積極的に撮ることで、治療経過を客観的に評価し、無駄のない治療方法を考えたり、患者様への説明に役立てています。
ワイヤー矯正の注意事項(リスク・副作用など)
- 治療中は違和感や痛みが起こることがあります
- 症状により、抜歯が必要な場合があります
- 治療中は歯磨きがしにくくなるため、虫歯や歯周病になりやすくなります
- 矯正治療後の保定が不十分だと後戻り(元の位置に戻ろうとする動き)をします
- 自費診療(保険適用外)となります
当サイトの内容、テキスト、画像等の無断転載、複製、複写、盗用を固く禁じます。






















