症例詳細
Case detail
前歯が抜けそう ブリッジできれいに 70代女性
治療症例の内容
- 診療科目
 
- 治療カテゴリ
 
- 担当医
 
- 患者様
 - 70代女性
 
- 治療期間
 - 6ヶ月
 
- 治療回数
 - 2-5回
 
- 治療計画
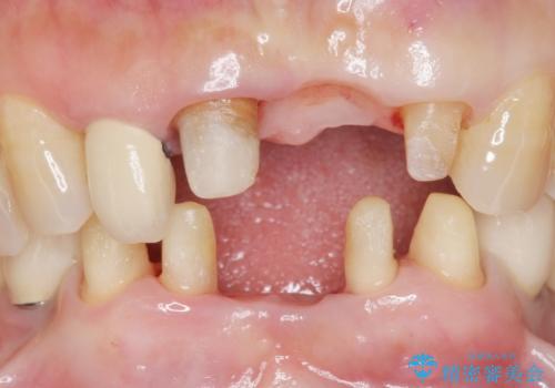
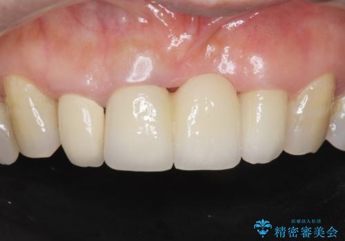
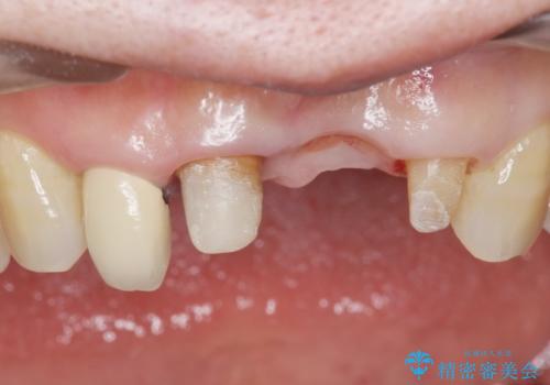
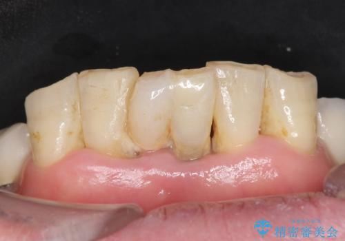
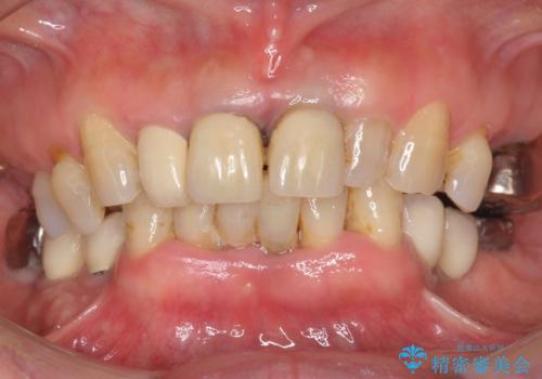
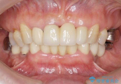
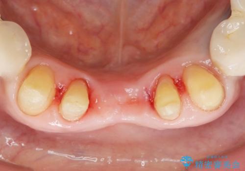
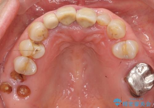
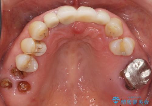
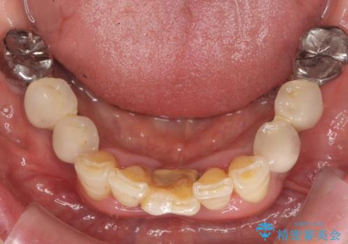
 - 上下の前歯が抜けそうだとのことで来院されました。
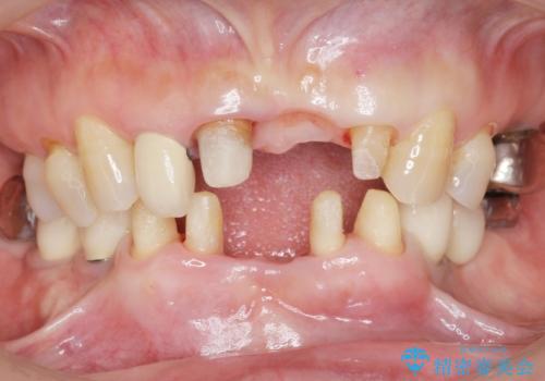
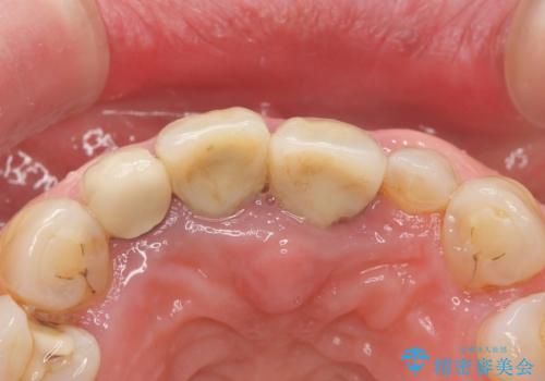
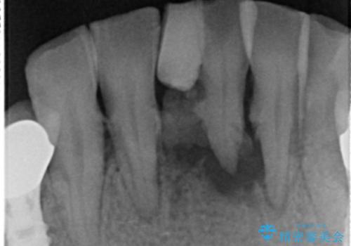
精査したところ、動揺の著しい上下の前歯は重度の歯周病により保存不可能と判断しました。
ブリッジ、インプラント、義歯の選択肢の中で上下前歯ともにブリッジをご希望されました。
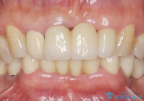
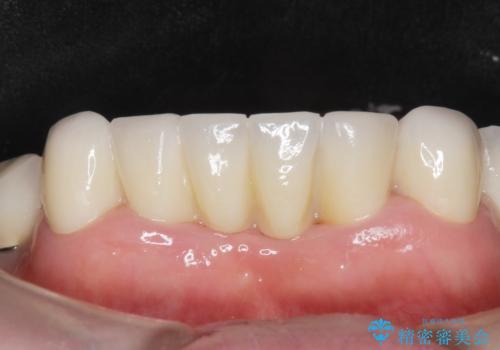
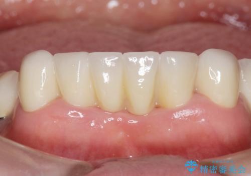
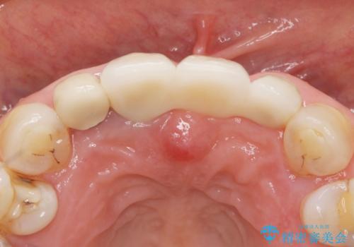
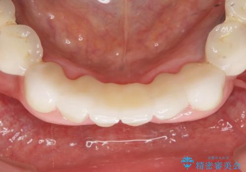
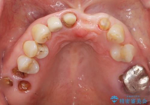
抜歯後歯肉の治癒を十分に待ったのち、ブリッジによる補綴治療を行いました。
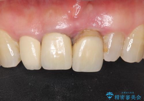
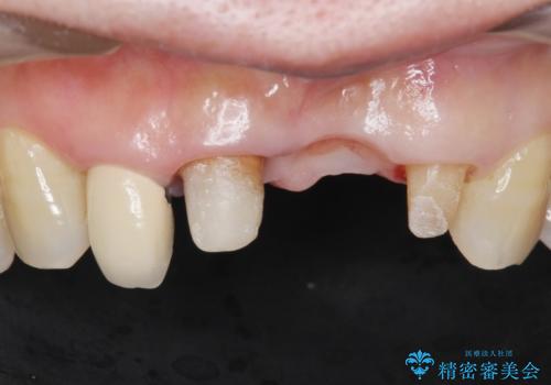
歯周病が重度であったため抜歯後の歯肉の陥凹が大きく、GBRや歯肉移植による歯周組織の再建をおすすめしましたが、ご希望されませんでした。
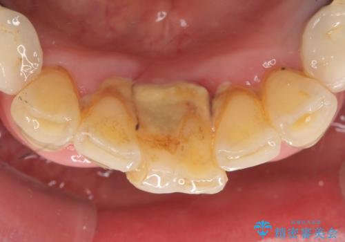
上の前歯の再根管治療もおすすめしましたが、必要性を感じないとのことで土台のやりかえだけをご希望されました。 
- 費用(概算)
 - ¥1,010,000 (仮歯×9本、ファイバーコア×1本、ジルコニアクラウン スタンダード×9本)費用は治療当時の料金となります
 
治療について
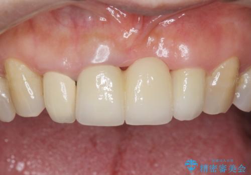
自然な仕上がりと使い心地に喜んで頂けました。
奥歯の治療もやりたいとおっしゃって下さり、今後進めていく予定です。
~被せ物の種類~
ジルコニアクラウン スタンダード
セラミック治療の注意事項(リスク・副作用など)
- 天然歯を削ります
 - 硬い素材は天然歯を傷つけてしまう場合があります
 - かみ合わせや歯ぎしりが強すぎる方はセラミックが割れてしまう可能性があります
 - 自費診療(保険適用外治療)となります
 
当サイトの内容、テキスト、画像等の無断転載、複製、複写、盗用を固く禁じます。

                      
                                                          
































