症例詳細
Case detail
精密かつ審美的なセラミックインレー
治療症例の内容
- 診療科目
- 治療カテゴリ
- 担当医
- 大元洋佑(ドクタープロフィール)
- 患者様
- 20代女性
- 治療期間
- 治療回数
- 2-5回
- 治療計画
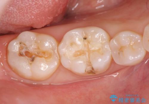
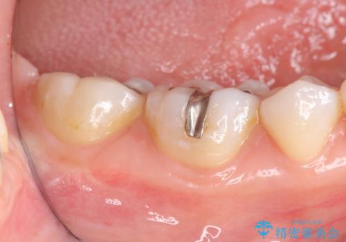
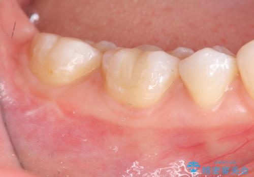
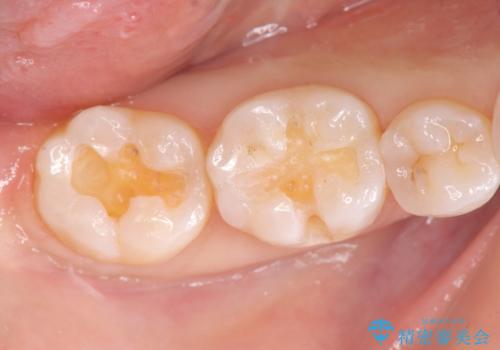
- 笑った時に見える銀歯を外したいと希望され来院されました。
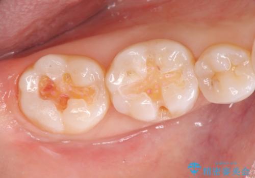
銀歯の下には初期の虫歯も見られたので、除去後精密なシリコン印象を行いセラミックインレーを製作しました。
- 費用(概算)
- 14万円 セラミックインレー×2費用は治療当時の料金となります
セラミックインレーについて
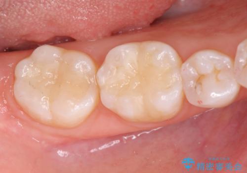
審美性を回復し、虫歯も予防のできる精密なセラミックインレーを装着することができました。
セラミック治療の注意事項(リスク・副作用など)
- 天然歯を削ります
- 硬い素材は天然歯を傷つけてしまう場合があります
- かみ合わせや歯ぎしりが強すぎる方はセラミックが割れてしまう可能性があります
- 自費診療(保険適用外治療)となります
当サイトの内容、テキスト、画像等の無断転載、複製、複写、盗用を固く禁じます。










