症例詳細
Case detail
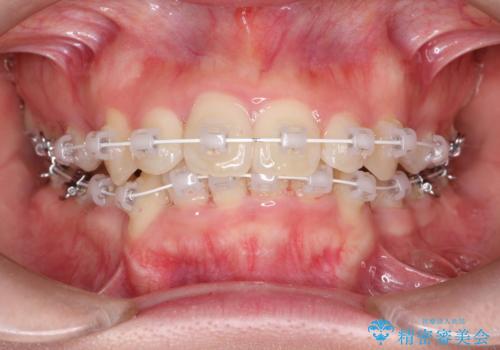
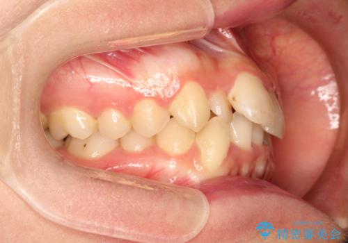
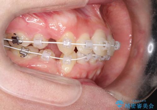
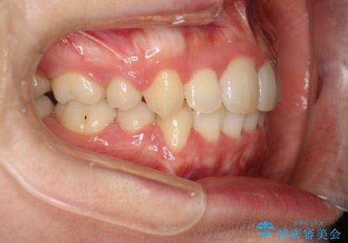
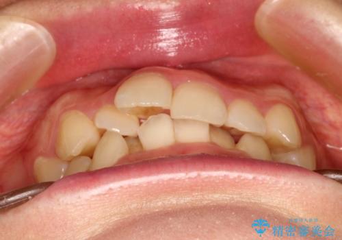
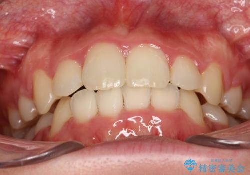
全体的ながたつき ワイヤーによる抜歯矯正で整った歯並びへ
治療症例の内容
- 診療科目
- 治療カテゴリ
- 担当医
- 患者様
- 20代女性
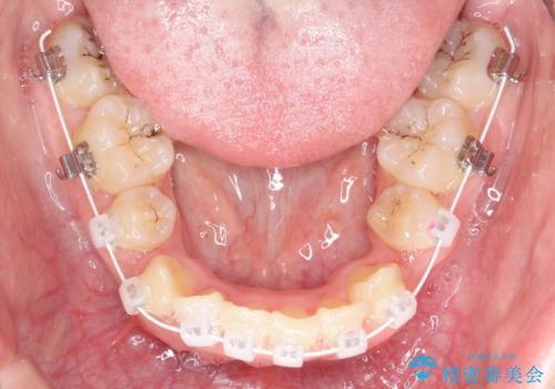
- 矯正装置
- 審美
- 治療期間
- 1年10ヶ月
- 治療回数
- 10-30回
- 治療計画
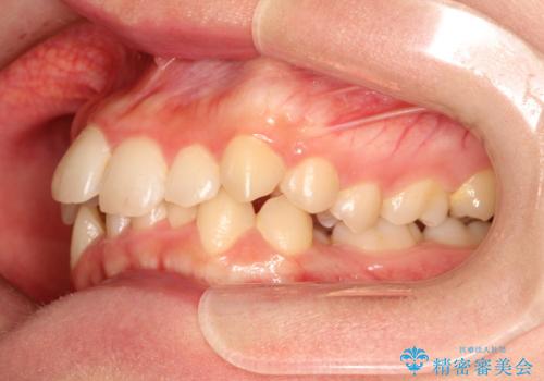
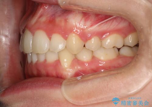
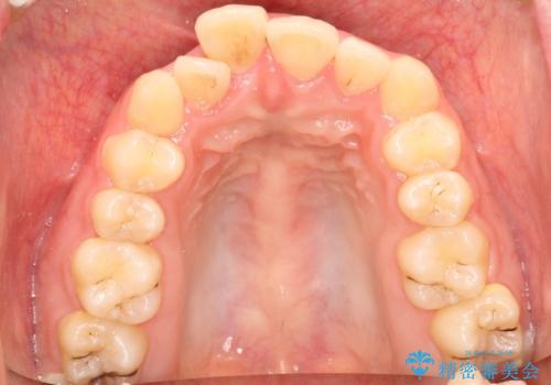
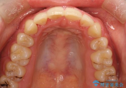
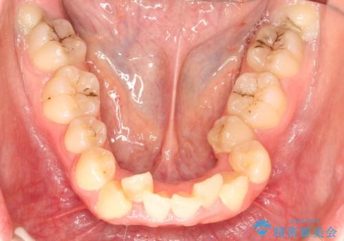
- 上下の全体的ながたつきが気になるとのことで来院されました。
上下左右の前から4番目の歯を抜歯をして、ワイヤー矯正にて並べる計画としました。
- 費用(概算)
- 約95万円費用は治療当時の料金となります
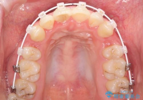
治療について
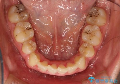
患者様が装置を早期に除去したいという希望もあり、少々下の前歯のがたつきが残った状態で矯正を終了しました。
全体的ながたつきがなくなり、見た目の印象がよくなりました。
ワイヤー矯正の注意事項(リスク・副作用など)
- 治療中は違和感や痛みが起こることがあります
- 症状により、抜歯が必要な場合があります
- 治療中は歯磨きがしにくくなるため、虫歯や歯周病になりやすくなります
- 矯正治療後の保定が不十分だと後戻り(元の位置に戻ろうとする動き)をします
- 自費診療(保険適用外)となります
当サイトの内容、テキスト、画像等の無断転載、複製、複写、盗用を固く禁じます。

















