症例詳細
Case detail
後戻りを治したい 骨格的なズレの大きい方のインビザライン矯正
治療症例の内容
- 診療科目
- 治療カテゴリ
- 担当医
- 藤巻太一朗(ドクタープロフィール)
- 患者様
- 20代女性
- 矯正装置
- インビザライン
- 治療期間
- 2年3ヶ月
- 治療回数
- 10-30回
- 治療計画
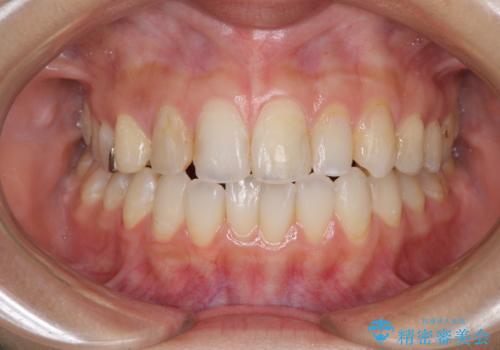
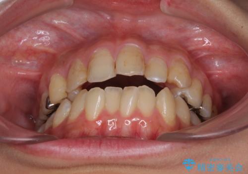
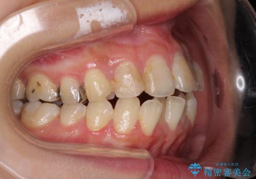
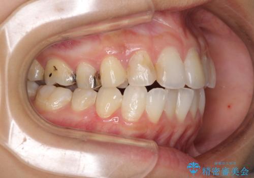
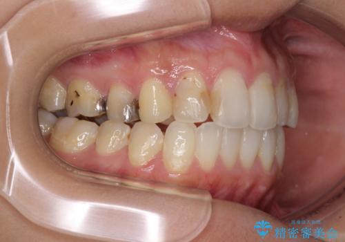
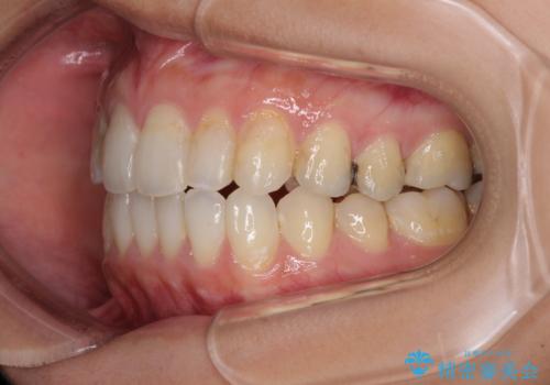
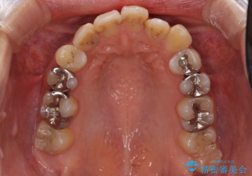
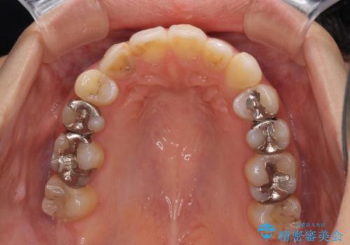
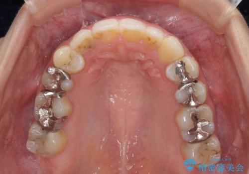
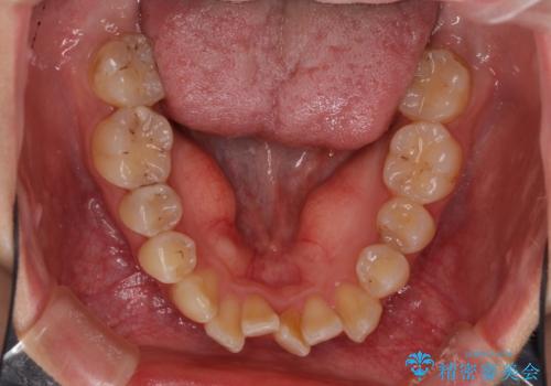
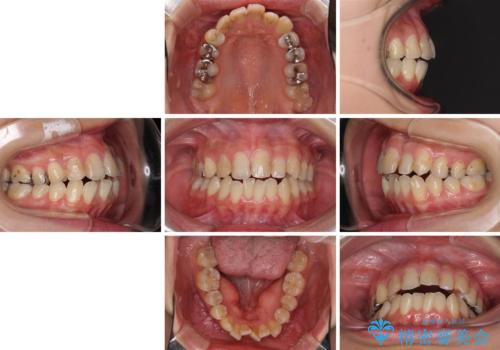
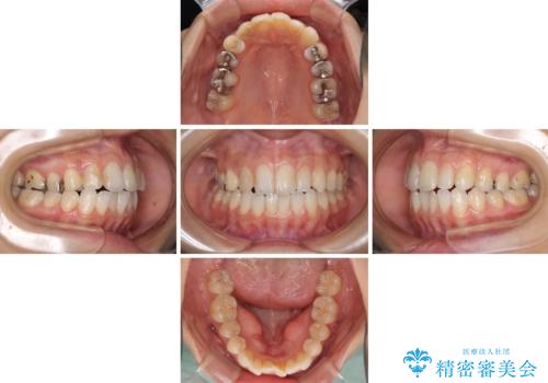
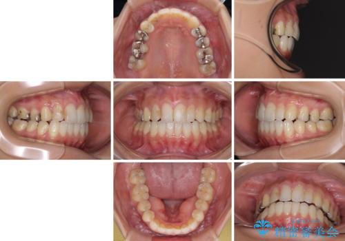
- 中学生の時に矯正治療をしたものの、後戻りを気にして来院された患者様です。
骨格的に下顎が右側に変位しているため、左右の咬み合わせを理想的なものに改善することはできませんが、インビザラインにて歯列を整えることとしました。
- 費用(概算)
- 治療費の目安: 75万円費用は治療当時の料金となります
治療について
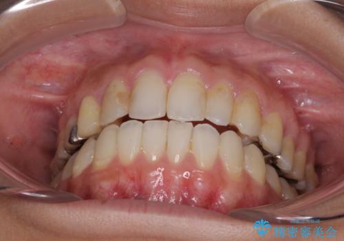
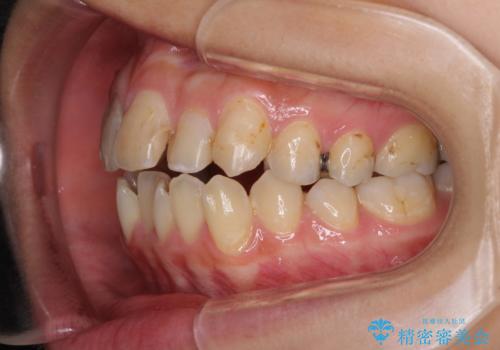
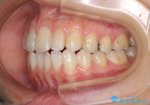
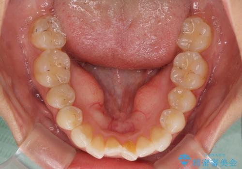
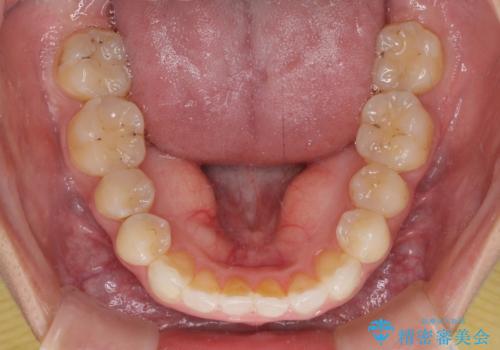
骨格的なズレによる左右差は改善できませんでしたが、上下の正中を極力合わせるようにすることができました。
マウスピース矯正の注意事項(リスク・副作用など)
- 口腔内・歯並びの状態によっては対応できない場合があります
- マウスピース型矯正装置の長時間装着(1日20時間以上)が必須です
- 治療計画通りに進めるためには、患者様の意志が重要になります
- 矯正治療後の保定が不十分だと後戻り(元の位置に戻ろうとする動き)をします
- 薬機法対象外の矯正歯科装置のため医薬品副作用被害救済制度の対象外となる場合があります
- 自費診療(保険適用外)となります
当サイトの内容、テキスト、画像等の無断転載、複製、複写、盗用を固く禁じます。


























