症例詳細
Case detail
体育会系の部活をしながら インビザラインを用いた矯正治療
治療症例の内容
- 診療科目
- 担当医
- 藤巻太一朗(ドクタープロフィール)
- 患者様
- 10代男性
- 矯正装置
- インビザライン
- 治療期間
- 1年5ヶ月
- 治療回数
- 10-30回
- 治療計画
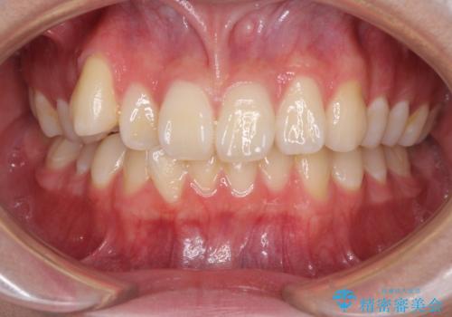
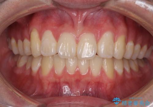
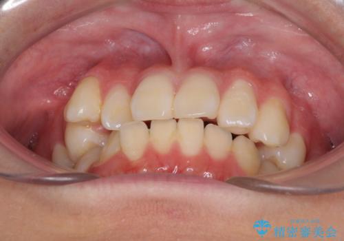
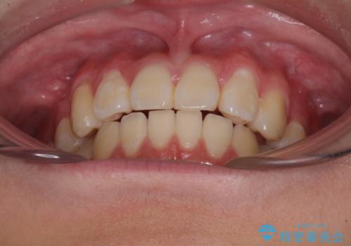
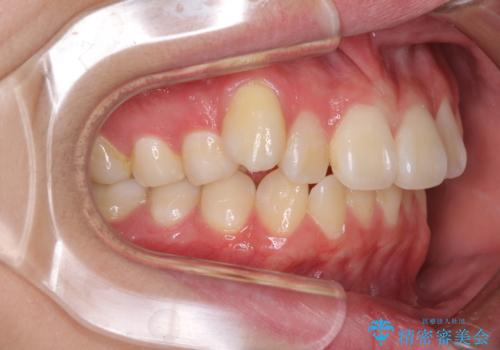
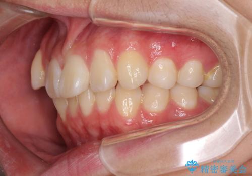
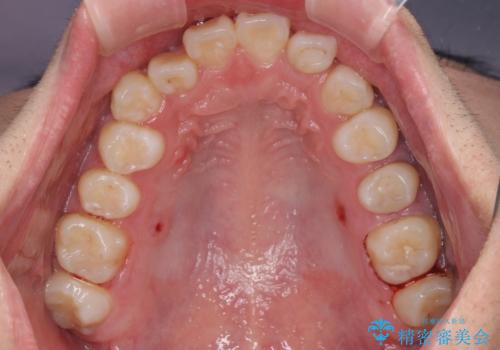
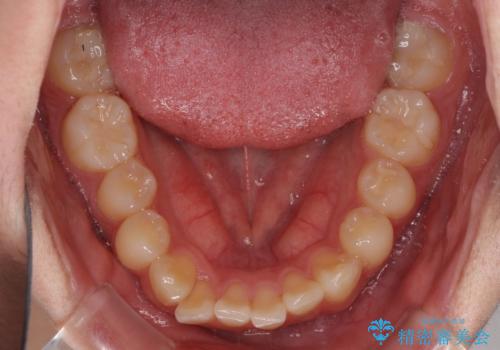
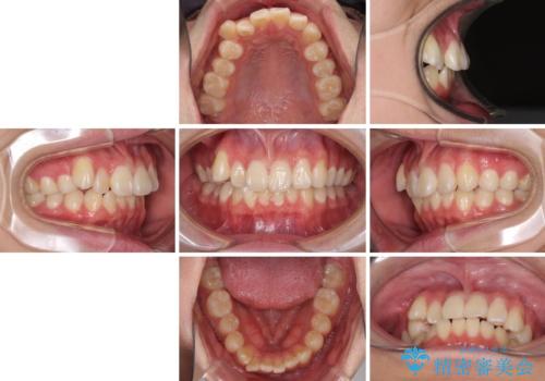
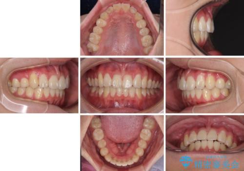
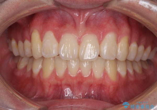
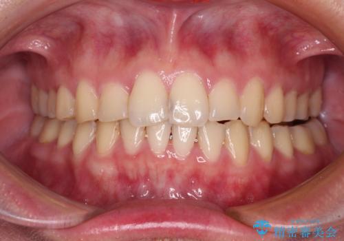
- 八重歯を気にして来院された高校生の患者様です。
ボディーコンタクトの激しい部活動を行っているため、補助装置とインビザラインを用いて、部活動を継続しながら治療を行うこととしました。
- 費用(概算)
- 治療費の目安: 85万円費用は治療当時の料金となります
治療について
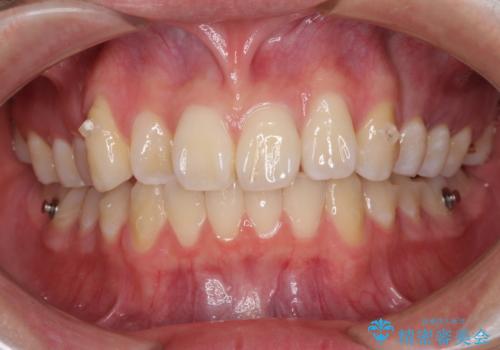
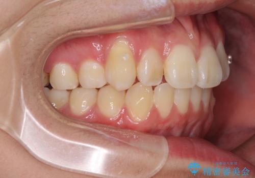
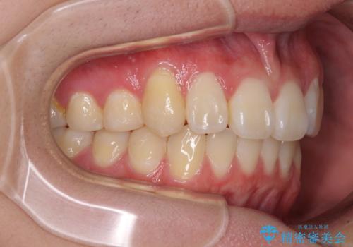
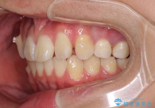
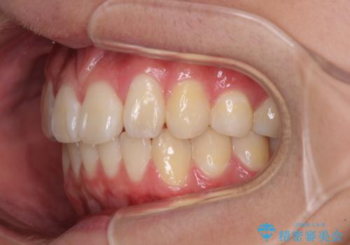
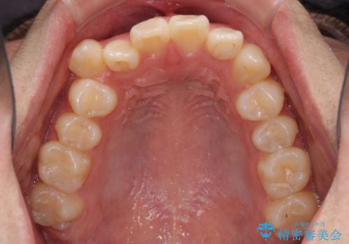
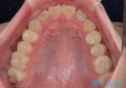
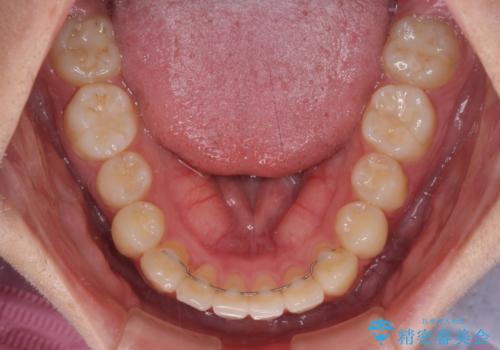
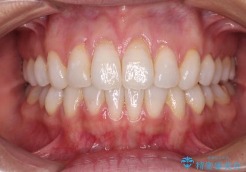
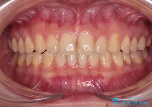
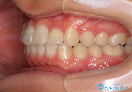
八重歯を効率よく改善するため、補助装置を使用して上顎の奥歯を後方に移動させました。
部活動をしながらでしたが、マウスピースをしっかりと装着してくださったので、1年半程度で終了することができました。
マウスピース矯正の注意事項(リスク・副作用など)
- 口腔内・歯並びの状態によっては対応できない場合があります
- マウスピース型矯正装置の長時間装着(1日20時間以上)が必須です
- 治療計画通りに進めるためには、患者様の意志が重要になります
- 矯正治療後の保定が不十分だと後戻り(元の位置に戻ろうとする動き)をします
- 薬機法対象外の矯正歯科装置のため医薬品副作用被害救済制度の対象外となる場合があります
- 自費診療(保険適用外)となります
当サイトの内容、テキスト、画像等の無断転載、複製、複写、盗用を固く禁じます。


























