症例詳細
Case detail
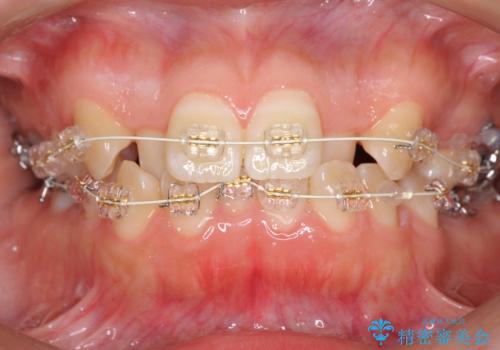
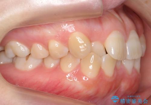
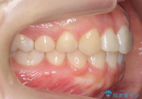
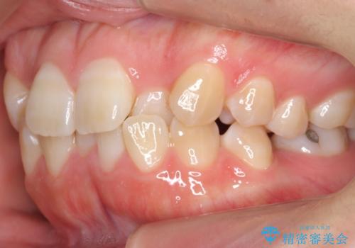
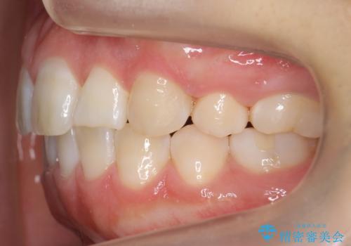
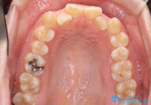
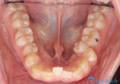
よくある悩み 前歯が裏に2本入っているのを治したい
治療症例の内容
- 診療科目
- 担当医
- 井上季実子(ドクタープロフィール)
- 患者様
- 30代女性
- 治療期間
- 2年3ヶ月
- 治療回数
- 10-30回
- 治療計画
- 前歯が2本裏に入ってしまっているのを治したいとのことでした。
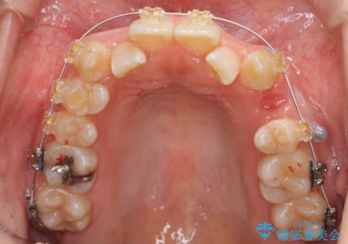
プラン1:上の正中をずらさない・・・上下左右4本抜歯
プラン2:上の正中は少し左にずれる・・・左の上下2本抜歯
を提案し、プラン2を選択されました。
- 費用(概算)
- 90万円(通院費、リテーナー代込み)費用は治療当時の料金となります
治療について
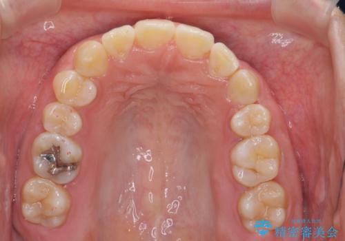
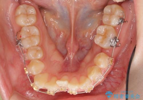
最小限の抜歯により矯正ができたと、喜んでいただきました。
ワイヤー矯正の注意事項(リスク・副作用など)
- 治療中は違和感や痛みが起こることがあります
- 症状により、抜歯が必要な場合があります
- 治療中は歯磨きがしにくくなるため、虫歯や歯周病になりやすくなります
- 矯正治療後の保定が不十分だと後戻り(元の位置に戻ろうとする動き)をします
- 自費診療(保険適用外)となります
当サイトの内容、テキスト、画像等の無断転載、複製、複写、盗用を固く禁じます。
















