症例詳細
Case detail
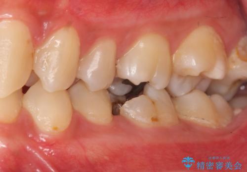
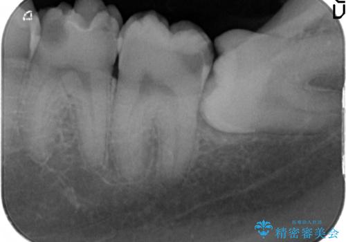
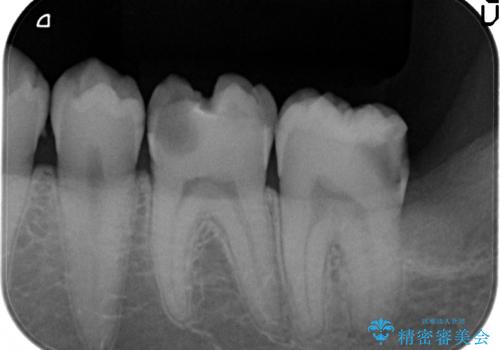
放置した虫歯の治療 親知らずの手前が虫歯
治療症例の内容
- 診療科目
- 治療カテゴリ
- 担当医
- 井上季実子(ドクタープロフィール)
- 患者様
- 30代男性
- 治療期間
- 6ヶ月
- 治療回数
- 2-5回
- 治療計画
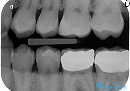
- 詰め物が取れて放置していたとのこと。
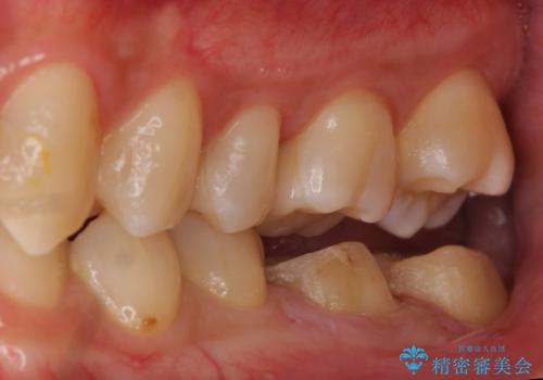
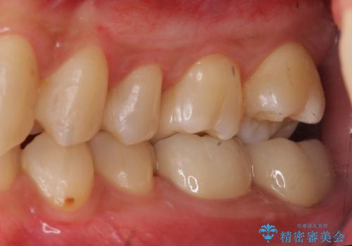
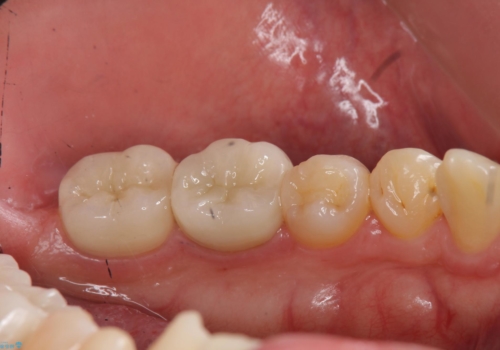
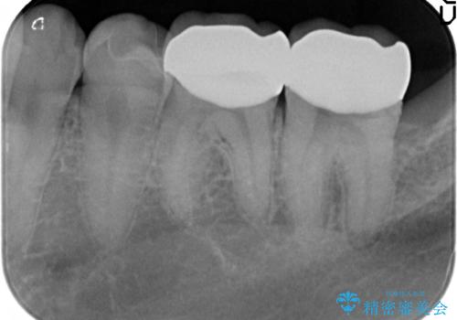
虫歯が大きかったため、被せ物(クラウン)としました。
親知らずを抜いてから治療しています。
- 費用(概算)
- 22万円 (左下67 仮歯1万円x2 ジルコニアクラウン10万円x2)費用は治療当時の料金となります
治療について
幸い神経を取らずにすみました。
セラミック治療の注意事項(リスク・副作用など)
- 天然歯を削ります
- 硬い素材は天然歯を傷つけてしまう場合があります
- かみ合わせや歯ぎしりが強すぎる方はセラミックが割れてしまう可能性があります
- 自費診療(保険適用外治療)となります
当サイトの内容、テキスト、画像等の無断転載、複製、複写、盗用を固く禁じます。













