症例詳細
Case detail
内側に入ってしまった前歯を正しい位置へ インビザライン矯正
治療症例の内容
- 診療科目
- 治療カテゴリ
- 担当医
- 患者様
- 30代男性
- 矯正装置
- インビザライン
- 治療期間
- 1年6ヶ月
- 治療回数
- 10-30回
- 治療計画
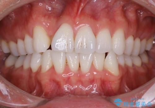
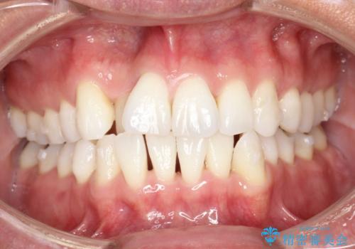
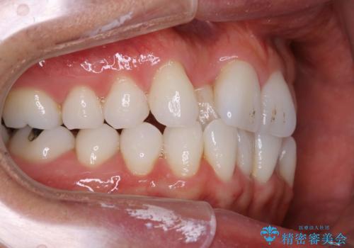
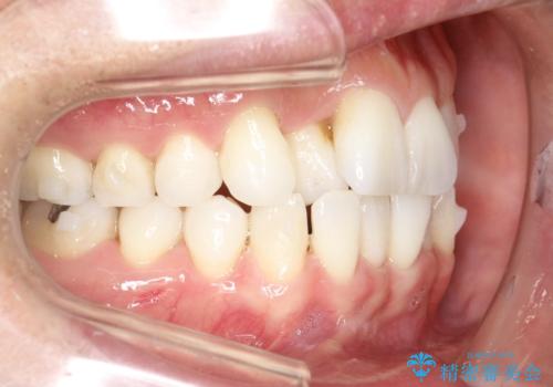
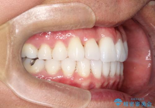
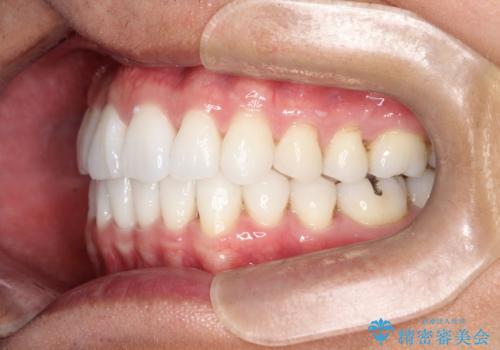
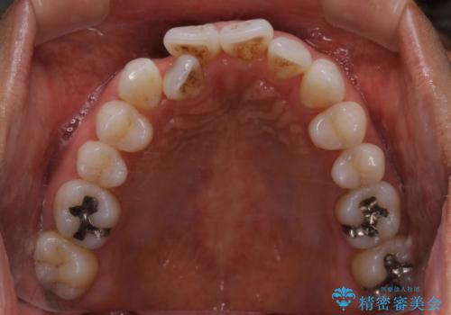
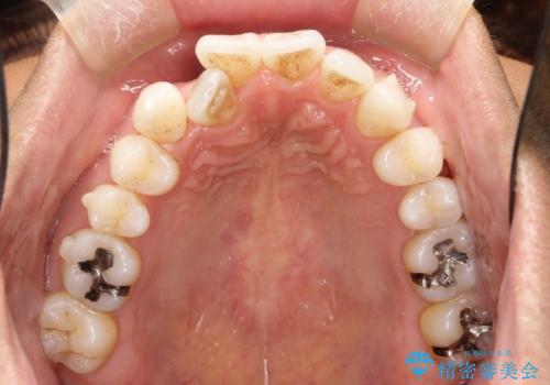
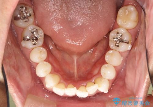
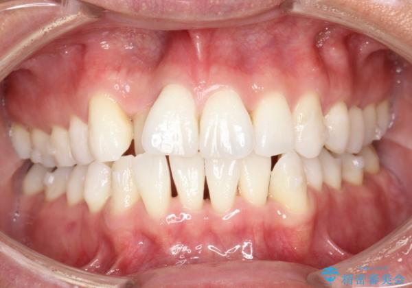
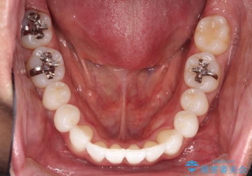
- 前歯のがたつきを主訴に来院されました。
右上の前から2番目の歯が引っ込んで、下の前歯にはガタガタがありました。
上下の歯と歯の間を少量ずつ削りスペースを作り、インビザラインにて並べる計画としました。
- 費用(概算)
- 約80万円費用は治療当時の料金となります
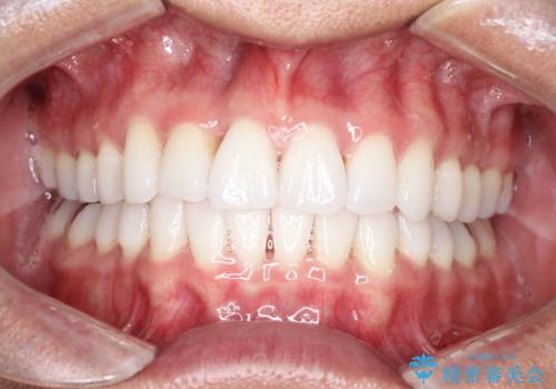
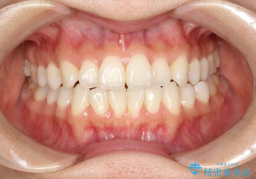
治療について
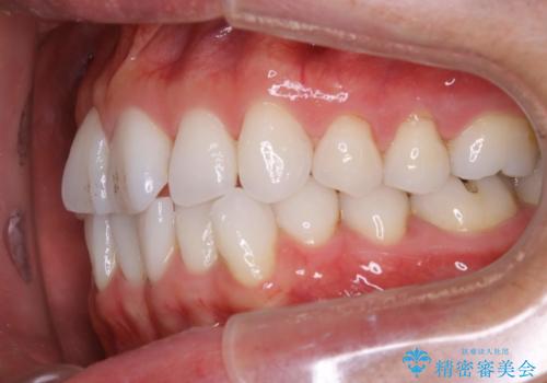
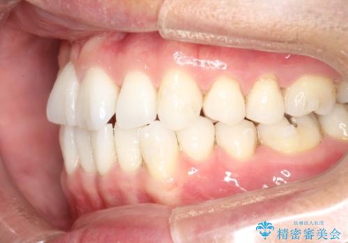
目立たずに矯正治療を終えることができたことに満足していただけました。
マウスピース矯正の注意事項(リスク・副作用など)
- 口腔内・歯並びの状態によっては対応できない場合があります
- マウスピース型矯正装置の長時間装着(1日20時間以上)が必須です
- 治療計画通りに進めるためには、患者様の意志が重要になります
- 矯正治療後の保定が不十分だと後戻り(元の位置に戻ろうとする動き)をします
- 薬機法対象外の矯正歯科装置のため医薬品副作用被害救済制度の対象外となる場合があります
- 自費診療(保険適用外)となります
当サイトの内容、テキスト、画像等の無断転載、複製、複写、盗用を固く禁じます。















