症例詳細
Case detail
前歯のかぶせ物の色があっていない オールセラミック治療
治療症例の内容
- 診療科目
- 治療カテゴリ
- 担当医
- 患者様
- 20代女性
- 治療期間
- 1ヶ月
- 治療回数
- 2-5回
- 治療計画
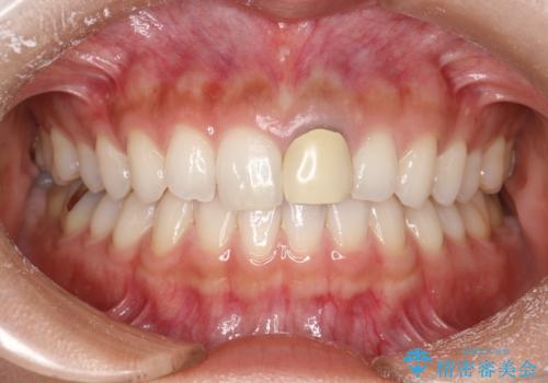
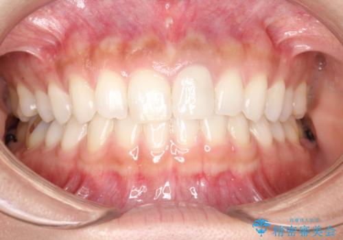
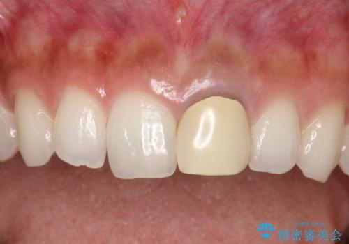
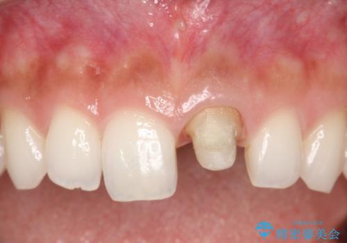
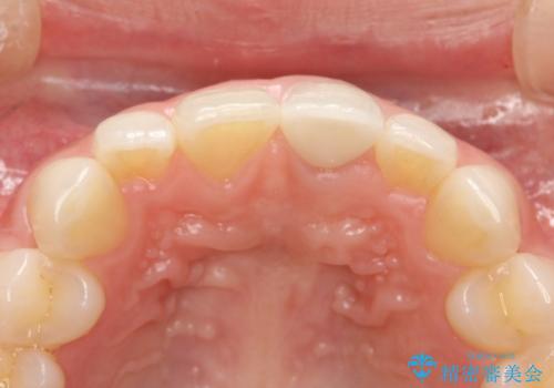
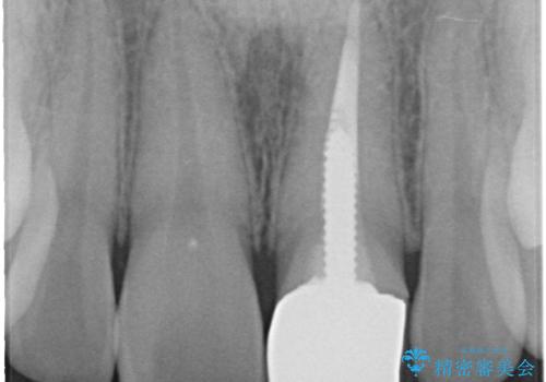
- 以前装着された前歯のかぶせ物の色を変えたいとのことで来院されました。
土台からの再治療を行い、オールセラミッククラウンを装着する治療計画としました。
- 費用(概算)
- 約14万円費用は治療当時の料金となります
治療について
保険適用のかぶせ物は天然の歯のような色見を表現するのは難しいといえます。
自然な歯をご希望な場合、金属を使わないオールセラミックがおすすめです。
セラミック治療の注意事項(リスク・副作用など)
- 天然歯を削ります
- 硬い素材は天然歯を傷つけてしまう場合があります
- かみ合わせや歯ぎしりが強すぎる方はセラミックが割れてしまう可能性があります
- 自費診療(保険適用外治療)となります
当サイトの内容、テキスト、画像等の無断転載、複製、複写、盗用を固く禁じます。












