症例詳細
Case detail
裏側装置で出っ歯の矯正治療
治療症例の内容
- 診療科目
- 治療カテゴリ
- 担当医
- 患者様
- 20代女性
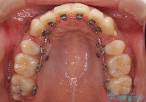
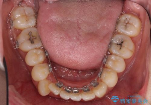
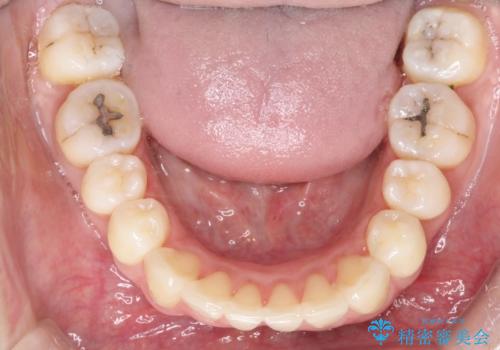
- 矯正装置
- リンガルブラケット
- 治療期間
- 3年2ヶ月
- 治療回数
- 10-30回
- 治療計画
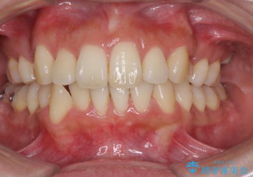
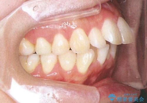
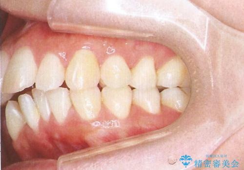
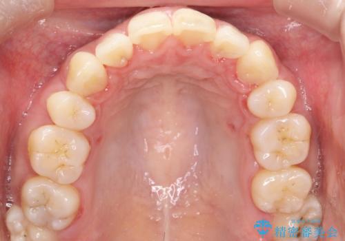
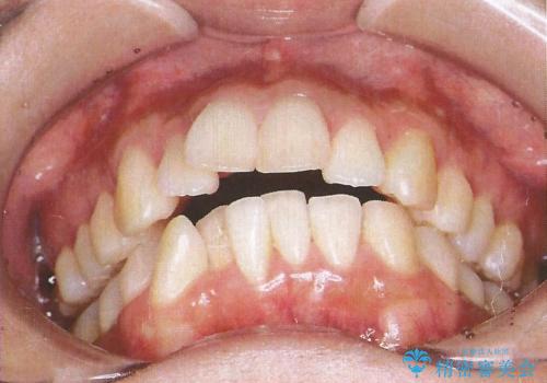
- 出っ歯を目立たない器具で治療したいとのことで来院されました。
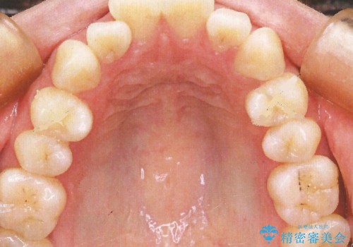
上顎の前から4番目の歯を両側抜歯して、上下裏側の装置で前歯を引っ込める計画としました。
- 費用(概算)
- 約140万円費用は治療当時の料金となります
治療について
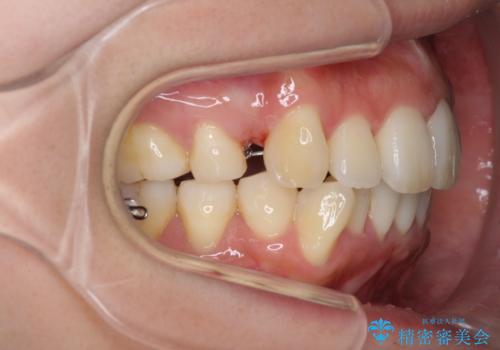
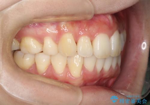
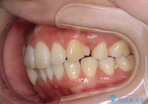
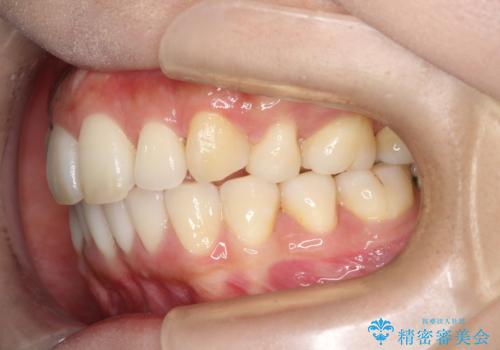
裏側からの矯正であったため、表側に比べて少し治療期間を要しました。
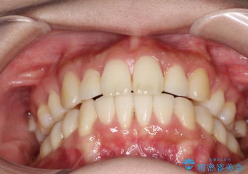
目立たずに矯正治療を終えることができ、満足していただけました。
ワイヤー矯正の注意事項(リスク・副作用など)
- 治療中は違和感や痛みが起こることがあります
- 症状により、抜歯が必要な場合があります
- 治療中は歯磨きがしにくくなるため、虫歯や歯周病になりやすくなります
- 矯正治療後の保定が不十分だと後戻り(元の位置に戻ろうとする動き)をします
- 自費診療(保険適用外)となります
当サイトの内容、テキスト、画像等の無断転載、複製、複写、盗用を固く禁じます。

















