症例詳細
Case detail
昔装着したかぶせ物を自然な色にしたい オールセラミックによる審美的改善
治療症例の内容
- 診療科目
- 治療カテゴリ
- 担当医
- 患者様
- 30代男性
- 治療期間
- 3ヶ月
- 治療回数
- 2-5回
- 治療計画
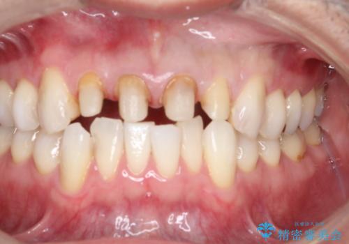
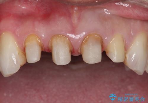
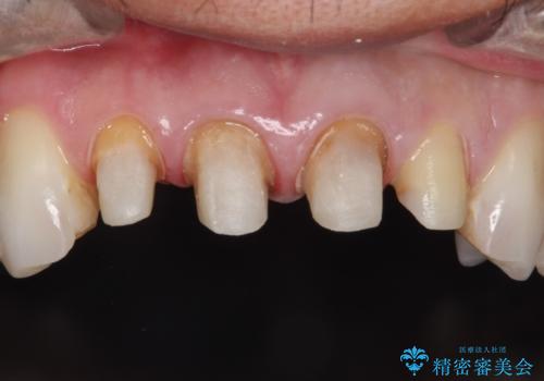
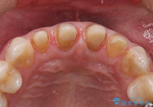
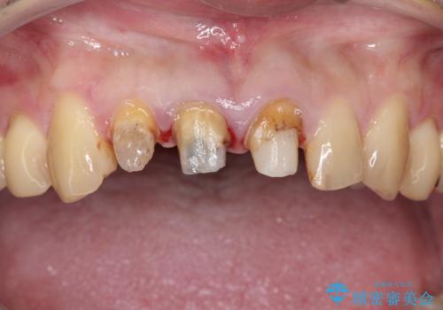
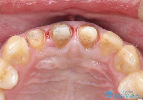
- 前歯のかぶせ物を自然な色味のものにしたいとのことで、来院されました。
保険適用のかぶせ物が装着されており、適合も悪く、変色している状態でした。
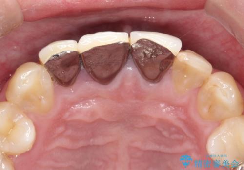
土台からの、再治療を行い、オールセラミッククラウンの装着を行う計画としました。
- 費用(概算)
- 約50万円費用は治療当時の料金となります
治療について
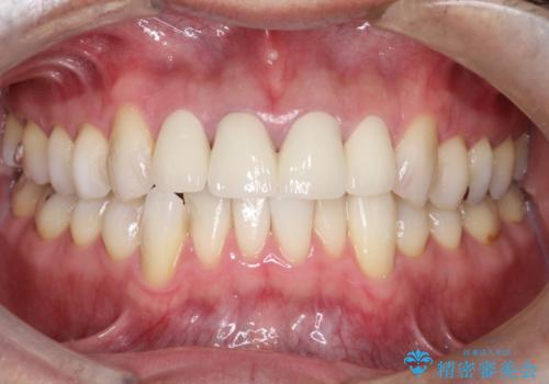
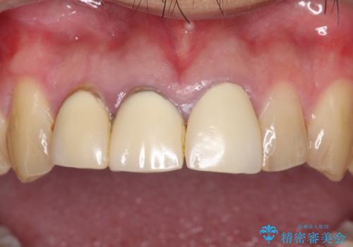
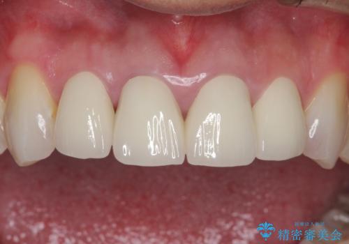
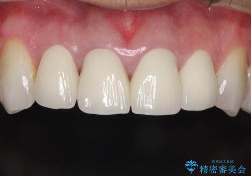
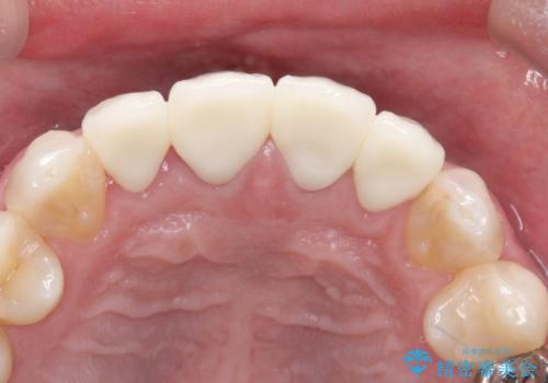
審美的な改善はもちろんのこと、ぴったりとしたものを装着することで、歯茎の発赤も改善されました。
セラミック治療の注意事項(リスク・副作用など)
- 天然歯を削ります
- 硬い素材は天然歯を傷つけてしまう場合があります
- かみ合わせや歯ぎしりが強すぎる方はセラミックが割れてしまう可能性があります
- 自費診療(保険適用外治療)となります
当サイトの内容、テキスト、画像等の無断転載、複製、複写、盗用を固く禁じます。
















