症例詳細
Case detail
インビザラインを用いた叢生(歯並びのガタつき)の治療
治療症例の内容
- 診療科目
- 担当医
- 林佳士登(ドクタープロフィール)
- 患者様
- 20代女性
- 矯正装置
- インビザライン
- 治療期間
- 1年4ヶ月
- 治療回数
- 10-30回
- 治療計画
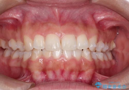
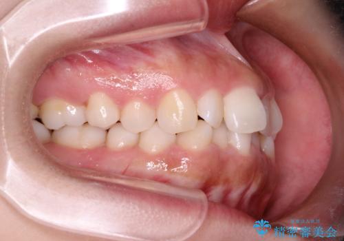
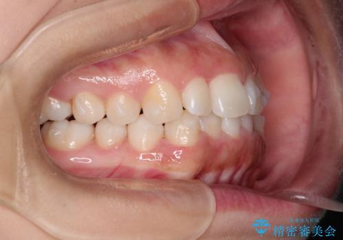
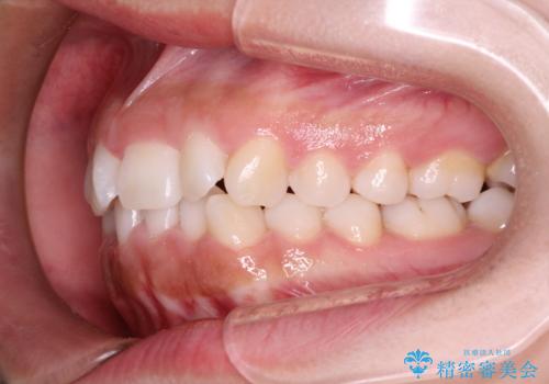
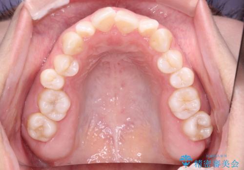
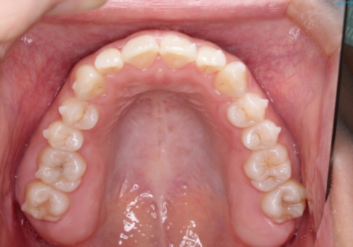
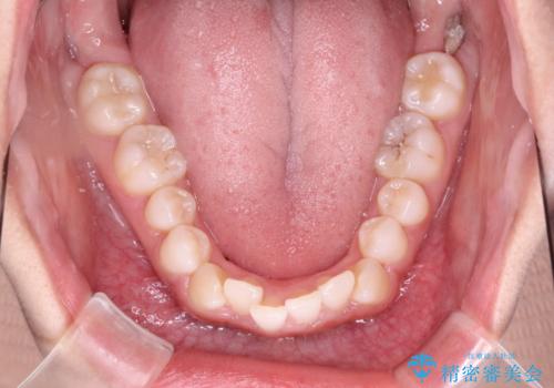
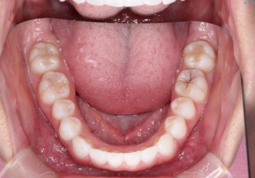
- 初診時には前歯部に捻転や叢生、臼歯部にも一部叢生が見られる状態でした。
インビザラインでの治療を計画し、行っていきました。
- 費用(概算)
- 80万円費用は治療当時の料金となります
治療について
使用したマウスピース枚数は、30枚+14枚+11枚(初回マウスピース+リファインメント 2回、1週間に1枚交換ペース)
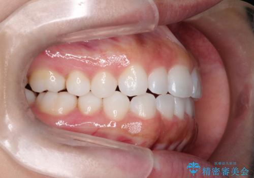
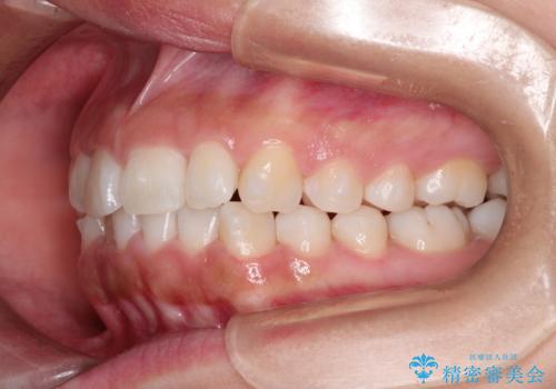
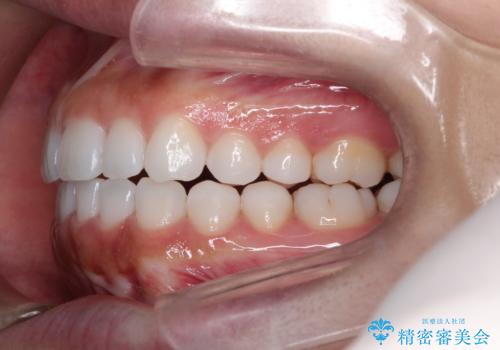
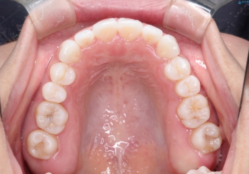
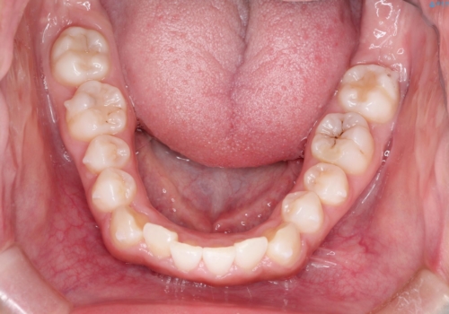
インビザライン治療により、捻転を含む歯列もしっかりと改善しています。
基本的な不正咬合部分は初回の30枚のマウスピースでほぼ改善しており、リファインメントでは前歯部の細かな調整など、患者様の要望を取り入れる形でシミュレーションをセットアップし、満足の行く結果に仕上がりました。
マウスピース矯正の注意事項(リスク・副作用など)
- 口腔内・歯並びの状態によっては対応できない場合があります
- マウスピース型矯正装置の長時間装着(1日20時間以上)が必須です
- 治療計画通りに進めるためには、患者様の意志が重要になります
- 矯正治療後の保定が不十分だと後戻り(元の位置に戻ろうとする動き)をします
- 薬機法対象外の矯正歯科装置のため医薬品副作用被害救済制度の対象外となる場合があります
- 自費診療(保険適用外)となります
当サイトの内容、テキスト、画像等の無断転載、複製、複写、盗用を固く禁じます。















