症例詳細
Case detail
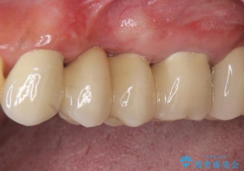
歯周病 側方力に対抗するブリッジ補綴
治療症例の内容
- 診療科目
- 治療カテゴリ
- 担当医
- 大元洋佑(ドクタープロフィール)
- 患者様
- 50代女性
- 治療期間
- 10ヶ月
- 治療回数
- 2-5回
- 治療計画
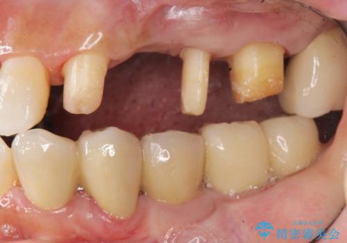
- 全体的に歯が揺れ、このままでは全て歯を失うのではないかと怖くなり歯周病治療を希望され来院されました。
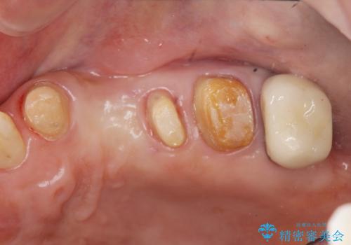
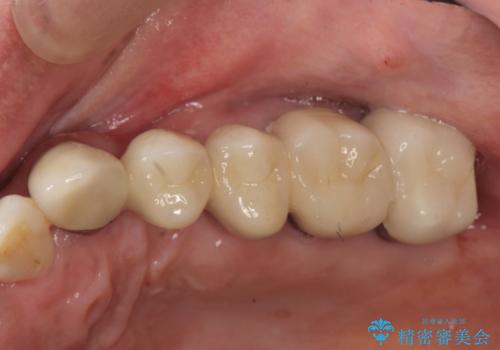
歯列不正による第一小臼歯の骨吸収が認められ、機能咬合力の回復、大きな側方力に連結することで抵抗することのできるブリッジ補綴を選択しました。
- 費用(概算)
- 32万円(仮歯・フルジルコニアクラウン×4)費用は治療当時の料金となります
歯周補綴について
歯周病による深いポケット・大きな側方力・短い臨床歯根・欠損の補綴、これらの問題を解決するために歯周補綴を兼ねたブリッジを選択しました。
歯周病治療の注意事項(リスク・副作用など)
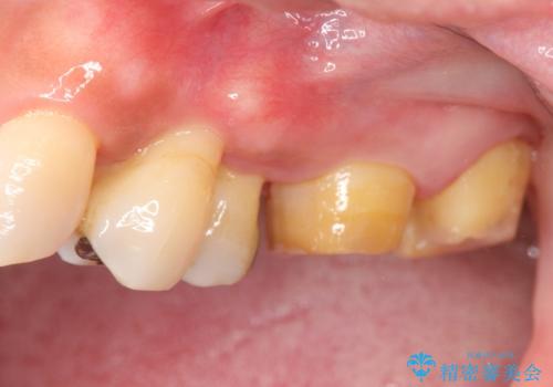
- 外科手術のため、術後に痛みや腫れ、違和感を伴います
- 歯周組織再生治療は患者様の状態によって術後の経過が異なります(見た目が改善しない場合もあります)
- 歯周組織再生治療は自費診療(保険適用外)となります
当サイトの内容、テキスト、画像等の無断転載、複製、複写、盗用を固く禁じます。












