症例詳細
Case detail
虫歯をセラミックで治療
治療症例の内容
- 診療科目
- 担当医
- 患者様
- 40代女性
- 治療期間
- 1年2ヶ月
- 治療回数
- 2-5回
- 治療計画
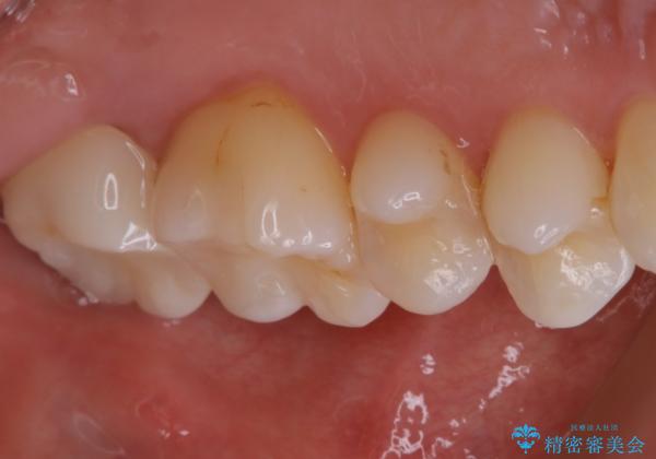
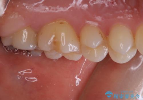
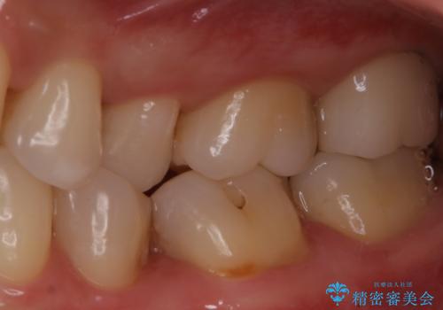
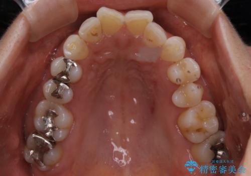
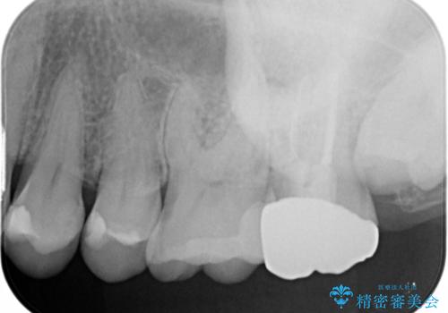
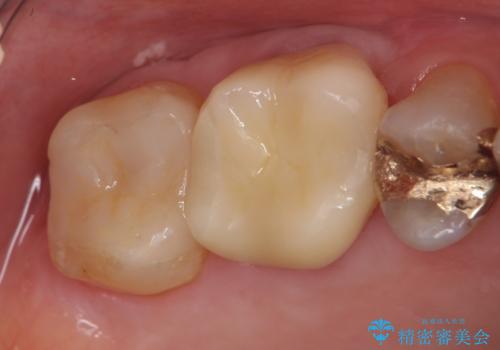
- 一番奥の歯に違和感がありご来院頂いた患者様です。
 診断の結果、一番奥の歯は失活していたため精密根管治療から治療介入となりました。奥から2番目の歯にも大きな虫歯が認められたため、セラミックインレーによる補綴治療を行いました。 精密根管治療は患者様のご希望により、福本院長に行っていただきました。
- 費用(概算)
- 17万円(精密根管治療は別途)費用は治療当時の料金となります
治療について
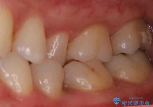
根管治療をした歯は神経のある歯と比較して強度が下がり、長期的に破折のリスクが高まると言われています。破折のリスクを軽減させるため、根管治療を行った歯に対しては歯冠をすべて覆うクラウンという被せ物にて補綴処置を行います。
適合不良の補綴物は二次的な虫歯発生のリスクが高まります。
自費診療で用いられる材料は保険適応の材料に比べて、より精密で適合の良い被せ物作ることができるため、長期的な虫歯のリスクを大幅に減らすことが可能です。
今後は他の銀歯のやり替えも順次行っていくこととなりました。
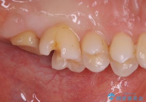
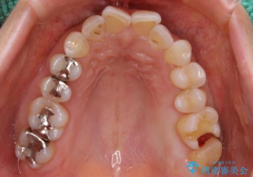
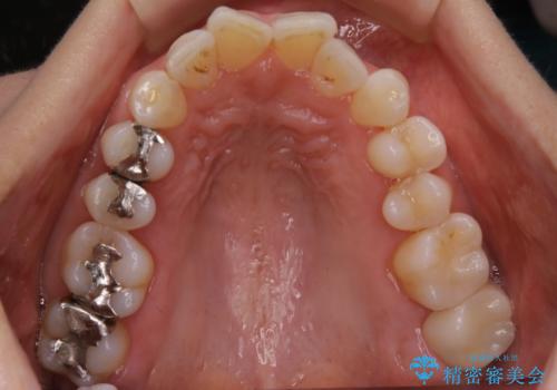
セラミックインレーついて
セラミックは強い咬合力がかかると割れてしまうリスクがあります。今回のケースでは、歯を削る量をなるべく少なくしたいとの患者様の強い希望により、セラミックインレーを作製しました。破折してしまった場合には、歯牙全体を覆うクラウンにすることを十分説明し、ご理解いただいたうえで装着しております。
セラミック治療の注意事項(リスク・副作用など)
- 天然歯を削ります
- 硬い素材は天然歯を傷つけてしまう場合があります
- かみ合わせや歯ぎしりが強すぎる方はセラミックが割れてしまう可能性があります
- 自費診療(保険適用外治療)となります
当サイトの内容、テキスト、画像等の無断転載、複製、複写、盗用を固く禁じます。








 
                       
                                                          










 
                   
                   
                  