症例詳細
Case detail
近所で入れた銀歯に食べ物が挟まる
治療症例の内容
- 診療科目
- 治療カテゴリ
- 担当医
- 大元洋佑(ドクタープロフィール)
- 患者様
- 30代男性
- 治療期間
- 1ヶ月
- 治療回数
- 2-5回
- 治療計画
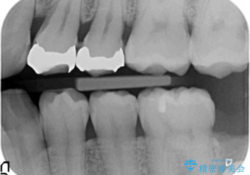
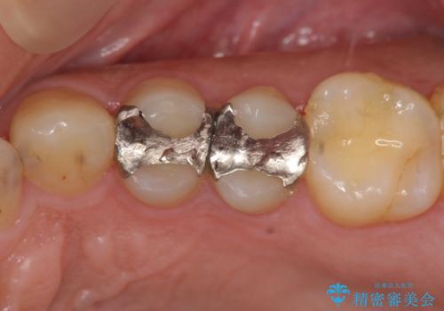
- 近所の歯医者で銀歯を入れたところ噛み合わせも悪く、毎回食べ物が詰まり困るとのことで来院されました。
X線写真より歯と適合の悪い銀歯が装着されていたので、除去し耐久性・削る量の少なくて済むゴールドインレーで再修復を行います。
- 費用(概算)
- 14万円(ゴールドインレー)費用は治療当時の料金となります
ゴールド治療について
ゴールドは化学的に安定し壊れることの少ない材料です。また薄く加工できるため歯を削る量もセラミック治療に比べ少なくすることができます。
PGA(ゴールド)クラウン、インレーの注意事項(リスク・副作用など)
- インレーおよびクラウンは脱離するリスクがあります
- 形成量はセラミックより少ないですが、歯の形成、修復後に歯に症状が出ることがあります
- 自費診療(保険適用外治療)となります
当サイトの内容、テキスト、画像等の無断転載、複製、複写、盗用を固く禁じます。






