症例詳細
Case detail
前歯のつめもの きれいにしたい 30代男性
治療症例の内容
- 診療科目
- 治療カテゴリ
- 担当医
- 患者様
- 30代男性
- 治療期間
- 2ヶ月
- 治療回数
- 2-5回
- 治療計画
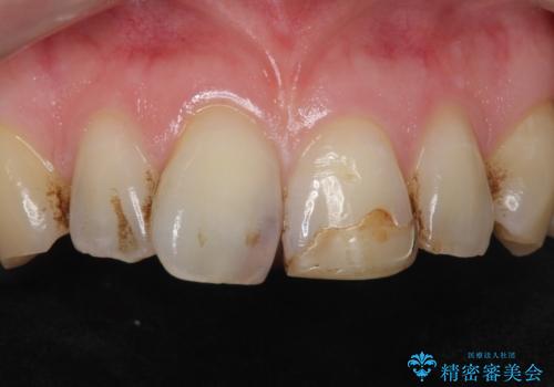
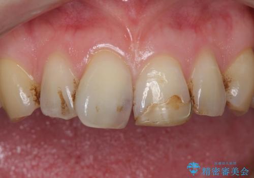
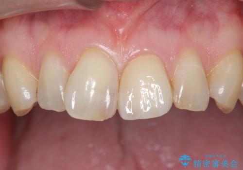
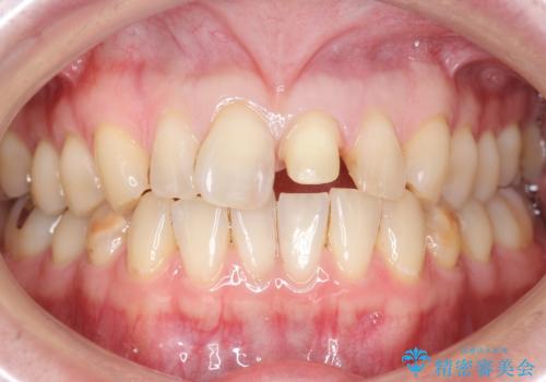
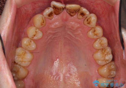
- 前歯のプラスチックの詰め物が気になると来院された患者様です。
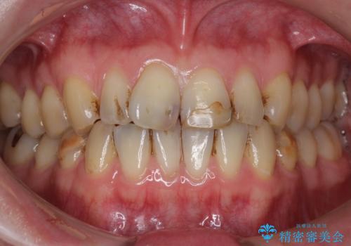
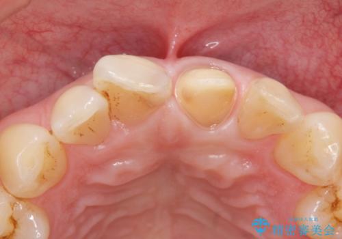
左上の前歯に詰められたプラスチック(コンポジットレジン)は、劣化し変色していました。
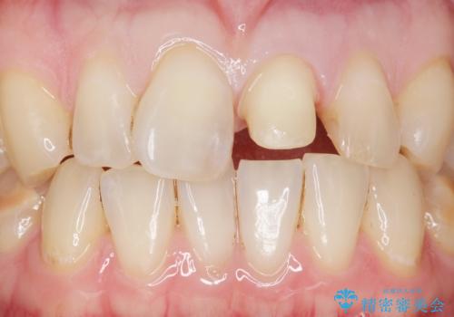
レジンを除去したところ二次う蝕を認めたため、丁寧に虫歯をとりました。
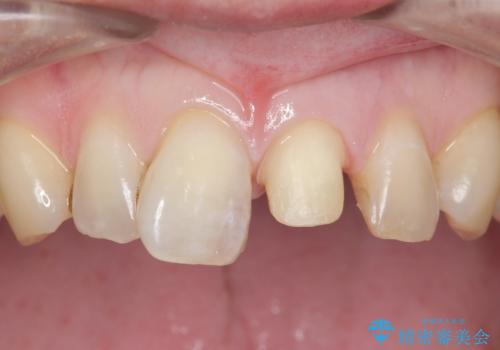
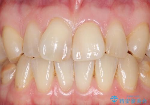
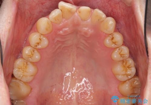
歯の欠損範囲が大きいことから、同様にレジン修復しても欠けやすいためセラミッククラウンによる補綴を行いました。
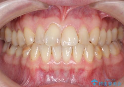
患者様のご希望により、最終補綴前にホワイトニングを行いました。
- 費用(概算)
- ¥170,000 (仮歯、セラミッククラウン、ホワイトニング)費用は治療当時の料金となります
治療について
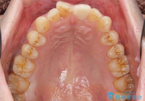
天然歯と見紛うほどの自然な仕上がりに喜んで頂けました。
クラウンの繊細なグラデーションや自然な表面性状・形態は熟練した技工士さんの技術の賜物です。
被せ物の種類:ジルコニアオールセラミッククラウン スペシャル
セラミック治療の注意事項(リスク・副作用など)
- 天然歯を削ります
- 硬い素材は天然歯を傷つけてしまう場合があります
- かみ合わせや歯ぎしりが強すぎる方はセラミックが割れてしまう可能性があります
- 自費診療(保険適用外治療)となります
ホワイトニングの注意事項(リスク・副作用など)
- 知覚過敏が出ることがあります
- ホワイトバンドや白い斑点が出ることがあります
- クラウンやインレー等の補綴物には効果がありません
- ホワイトニングによる効果や持続期間には個人差があります
- 歯牙の状態によっては適応できないことがあります
- 保険適用外となります
当サイトの内容、テキスト、画像等の無断転載、複製、複写、盗用を固く禁じます。




















