症例詳細
Case detail
銀歯の引っかかり 化学的に安定したゴールドインレー修復
治療症例の内容
- 診療科目
- 治療カテゴリ
- 担当医
- 大元洋佑(ドクタープロフィール)
- 患者様
- 40代男性
- 治療期間
- 1ヶ月
- 治療回数
- 2-5回
- 治療計画
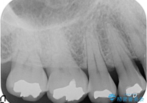
- 銀歯で詰めたところが引っ掛かるようになり舌で触ると気になる、再治療を希望され来院されました。
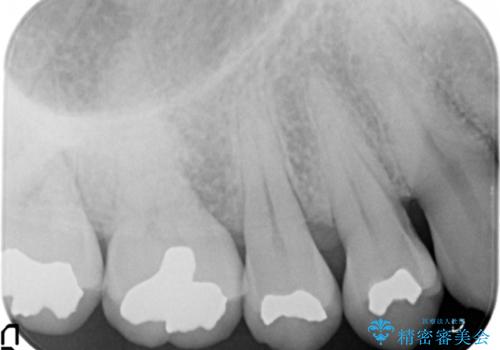
銀歯の劣化が見られたので化学的に安定し、長期的な予後の見込めるゴールドインレーを用いて再修復することとしました。
- 費用(概算)
- 6万円費用は治療当時の料金となります
ゴールドによる修復について
ゴールドは色調こそ目立ちますがあまり見えない場所には耐久性に優れ安定した修復材料です。
PGA(ゴールド)クラウン、インレーの注意事項(リスク・副作用など)
- インレーおよびクラウンは脱離するリスクがあります
- 形成量はセラミックより少ないですが、歯の形成、修復後に歯に症状が出ることがあります
- 自費診療(保険適用外治療)となります
当サイトの内容、テキスト、画像等の無断転載、複製、複写、盗用を固く禁じます。




