症例詳細
Case detail
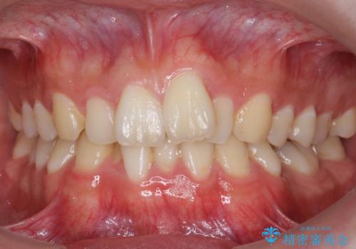
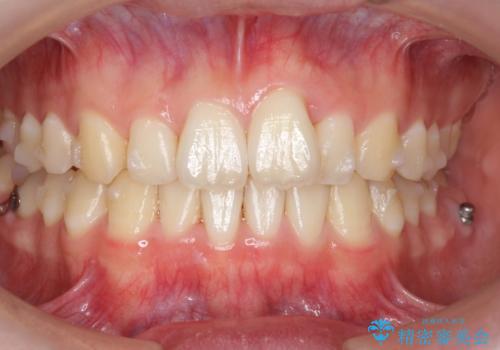
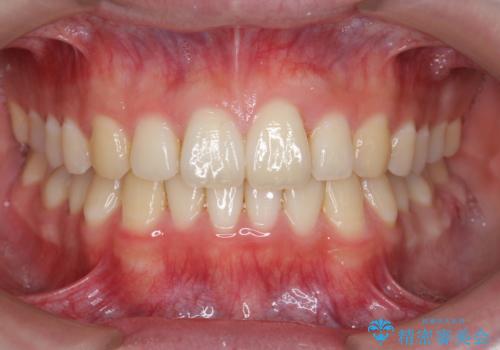
前歯のがたつき・すれちがい咬合を非抜歯で。流行の、格安マウスピースでは難しい、ワンランク上の治療
治療症例の内容
- 診療科目
- 担当医
- 井上季実子(ドクタープロフィール)
- 患者様
- 20代男性
- 矯正装置
- マウスピース矯正
- 治療期間
- 1年10ヶ月
- 治療回数
- 10-30回
- 治療計画
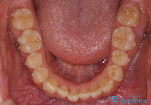
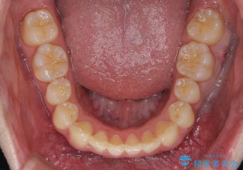
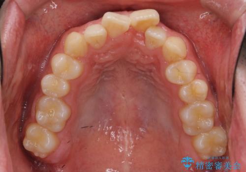
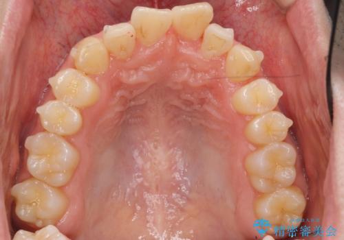
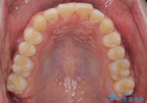
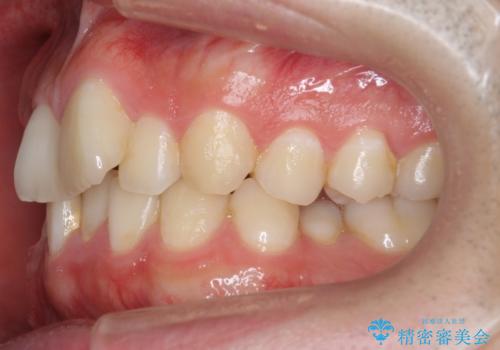
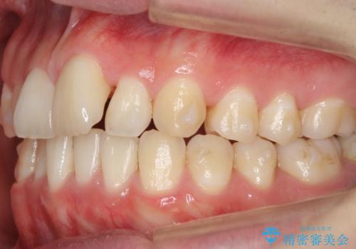
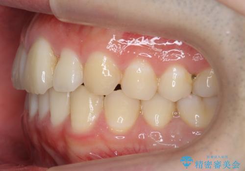
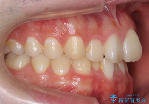
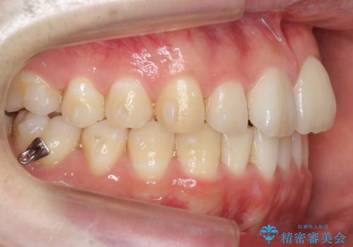
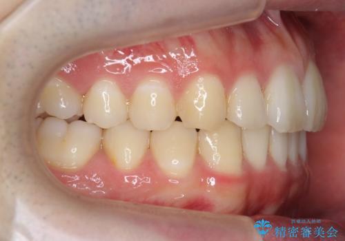
- 前歯のがたつきを主訴に来院。
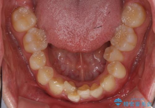
左下の奥歯を後ろに移動して、中に入ってすれちがっていた小臼歯を並べました。
巷(ちまた)で大きく宣伝している某 格安マウスピース矯正では、奥歯を後ろに動かすことはできないです。
他院で歯を抜かずにマウスピースで難しいといわれた方、ぜひご相談ください。
- 費用(概算)
- 95万円費用は治療当時の料金となります
治療について
奥歯を後ろに移動させるために、矯正用のミニスクリューを用いました。(インプラント矯正)
マウスピース矯正の注意事項(リスク・副作用など)
- 口腔内・歯並びの状態によっては対応できない場合があります
- マウスピース型矯正装置の長時間装着(1日20時間以上)が必須です
- 治療計画通りに進めるためには、患者様の意志が重要になります
- 矯正治療後の保定が不十分だと後戻り(元の位置に戻ろうとする動き)をします
- 薬機法対象外の矯正歯科装置のため医薬品副作用被害救済制度の対象外となる場合があります
- 自費診療(保険適用外)となります
当サイトの内容、テキスト、画像等の無断転載、複製、複写、盗用を固く禁じます。





















