症例詳細
Case detail
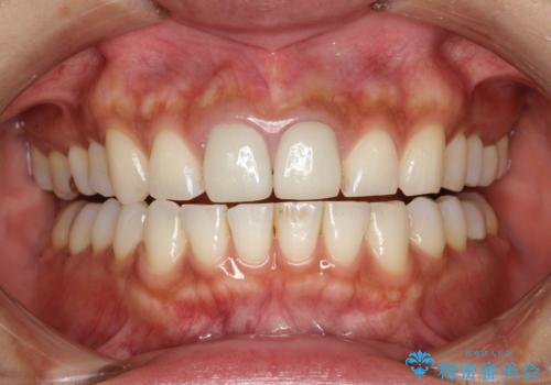
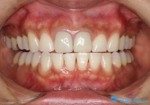
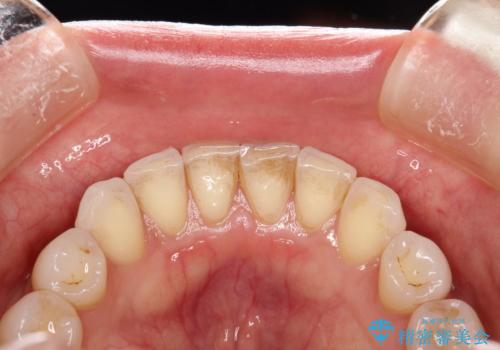
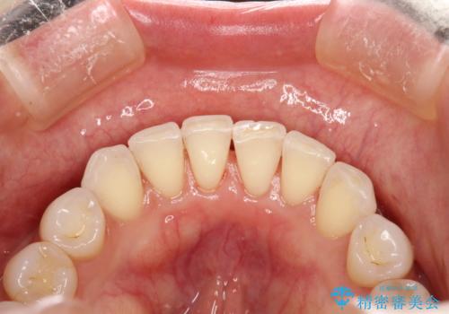
30分のPMTCで前歯の着色落とし
治療症例の内容
- 診療科目
- 治療カテゴリ
- 患者様
- 30代女性
- 治療期間
- 1日
- 治療回数
- 1回
- 治療計画
- 前歯にちょっとだけついている着色が目立つため気になるとのことでした。全体のチェックをしたところ着色が付着しているのが前歯メインだったため、PMTCの30分コースを行いました。
- 費用(概算)
- 5千円+tax費用は治療当時の料金となります
治療について
毎日しっかりと歯磨きをしていても、日常生活での飲食物などにより着色してしまうことはあります。PMTCでは歯の表面の凸凹にミネラルを補給しツルツルの状態に仕上げます。定期的に行うことで歯質の強化になり着色が付きにくい状態になります。
普段の飲食物や歯磨き、生活習慣などにより着色の付き具合には個人差があります。どれくらいの頻度で行うことがベストかはその都度担当の歯科衛生士とご相談します。
担当歯科衛生士
表参道しらゆり歯科 DH西澤
PMTCの注意事項(リスク・副作用など)
- 歯を白くする目的の施術ではありません
- 保険適用外となります
当サイトの内容、テキスト、画像等の無断転載、複製、複写、盗用を固く禁じます。








