症例詳細
Case detail
セラミック矯正 気になる前歯の歯並びの改善
治療症例の内容
- 診療科目
- 治療カテゴリ
- 担当医
- 患者様
- 20代男性
- 治療期間
- 2ヶ月
- 治療回数
- 2-5回
- 治療計画
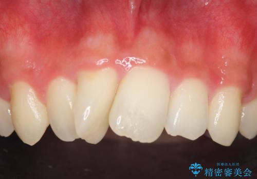
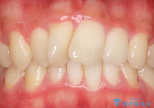
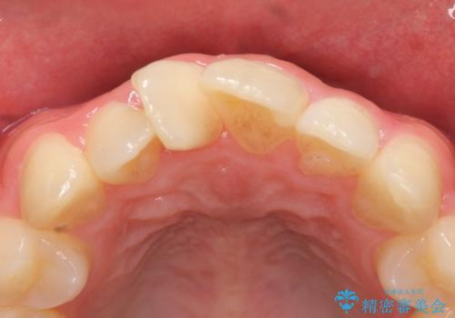
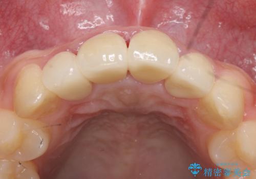
- 上顎前歯の歯並びが気になるが仕事が忙しく矯正治療は難しいため、セラミック矯正で綺麗にしたいといらっしゃった方の症例です。
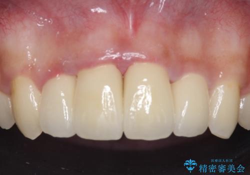
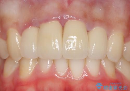
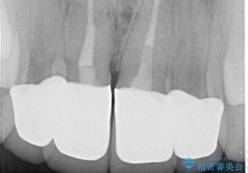
左右の1番目の歯は傾きが大きいため、セラミッククラウンにするにあたり神経治療を行うことを御了承頂いた上で、前歯4本をオールセラミッククラウン(スペシャル)により補綴しました。
- 費用(概算)
- オールセラミッククラウン(スペシャル)…¥130,000×4、仮歯…¥10,000×4、ファイバーコア…¥20,000×2、精密根管治療費別途費用は治療当時の料金となります
オールセラミッククラウン(スペシャル)について
前歯の補綴ではオールセラミッククラウンを希望される患者様が多いですが、オールセラミッククラウンの中でも、エコノミー、スタンダード、スペシャル、エクセレントとランクがあります。
その中でも特に審美性が高いのがスペシャル、エクセレントです。スペシャル、エクセレントは口腔内写真をもとに熟練の技工士が、患者様の口腔内に合わせたオーダーメイドのクラウンを製作致します。
根管治療の注意事項(リスク・副作用など)
- 根管治療により類似の全ての症例の問題が解決するわけではなく、症例はあくまでも一例です
- 根管治療により痛みや腫れがひかない事や、術後に痛みや腫れが生じる事、治療によるファイル破折やパーフォレーションなどの偶発症、術後の歯根破折を生じる可能性もあります
- 自費診療(保険適用外)となります
セラミック治療の注意事項(リスク・副作用など)
- 天然歯を削ります
- 硬い素材は天然歯を傷つけてしまう場合があります
- かみ合わせや歯ぎしりが強すぎる方はセラミックが割れてしまう可能性があります
- 自費診療(保険適用外治療)となります
当サイトの内容、テキスト、画像等の無断転載、複製、複写、盗用を固く禁じます。












