症例詳細
Case detail
歯の神経を残す、丁寧な虫歯の除去
治療症例の内容
- 診療科目
- 治療カテゴリ
- 担当医
- 大元洋佑(ドクタープロフィール)
- 患者様
- 20代男性
- 治療期間
- 治療回数
- 2-5回
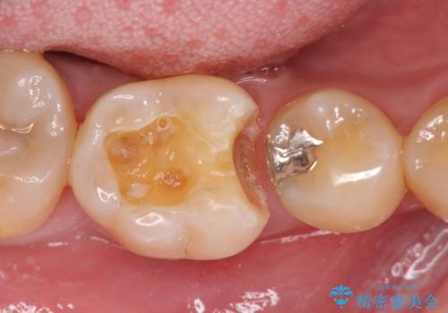
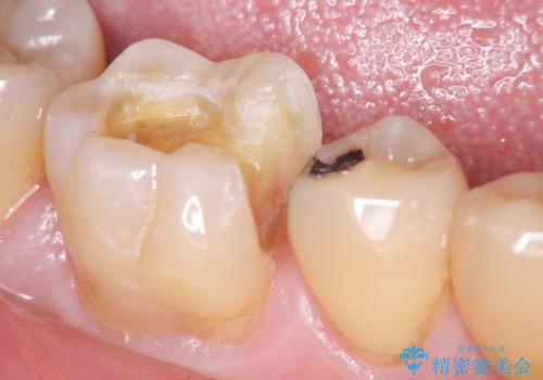
- 治療計画
- 銀歯の劣化、歯のしみる症状の改善を求めて来院されました。
マイクロスコープ、拡大鏡を用いて治療を行うことで虫歯を取り切ることと必要以上に歯を削らず真剣を温存することのできる確率が高まります。
- 費用(概算)
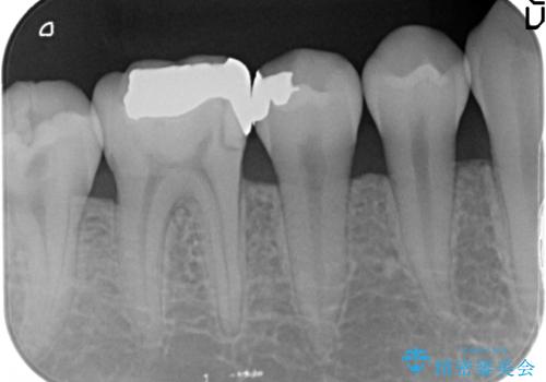
- 14万円(emax セラミックインレー)費用は治療当時の料金となります
虫歯治療について
虫歯治療後の予後をより良くするために、虫歯を取り切ること精密な修復物の装着が必須となります。
セラミック治療の注意事項(リスク・副作用など)
- 天然歯を削ります
- 硬い素材は天然歯を傷つけてしまう場合があります
- かみ合わせや歯ぎしりが強すぎる方はセラミックが割れてしまう可能性があります
- 自費診療(保険適用外治療)となります
当サイトの内容、テキスト、画像等の無断転載、複製、複写、盗用を固く禁じます。







