症例詳細
Case detail
保存不可能な歯を抜歯してインプラント治療
治療症例の内容
- 担当医
- 患者様
- 20代女性
- 治療期間
- 6ヶ月
- 治療回数
- 5-10回
- 治療計画
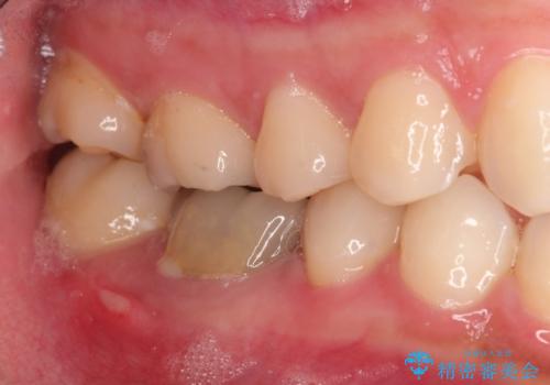
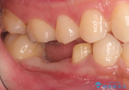
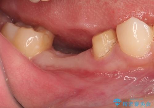
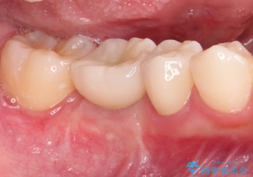
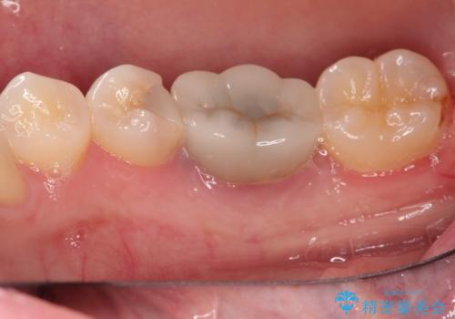
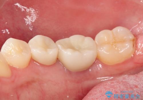
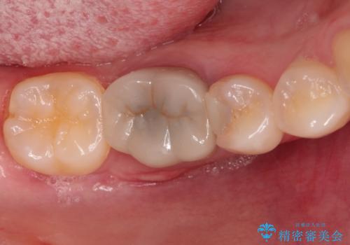
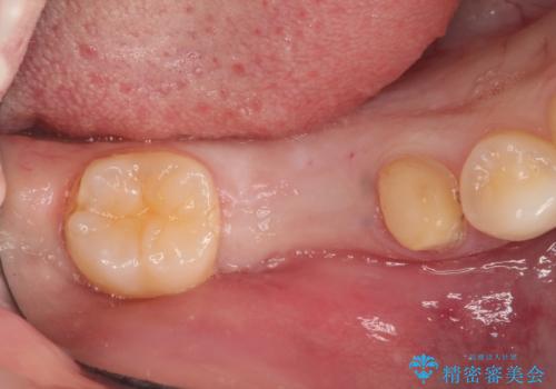
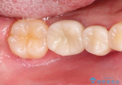
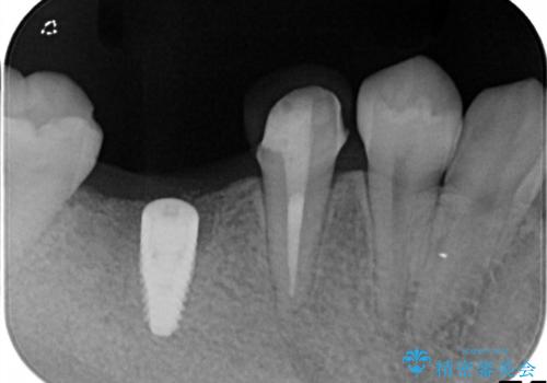
- 右下の奥歯の調子がよくないとのことで来院されました。
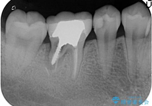
レントゲン・口腔内診査をお行い、保存が難しいことがわかりました。
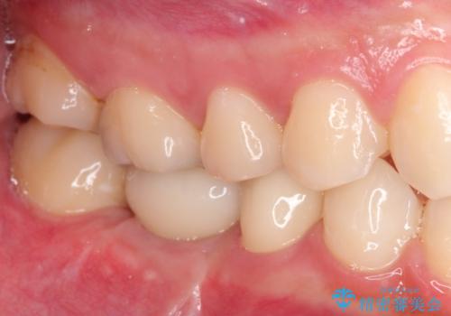
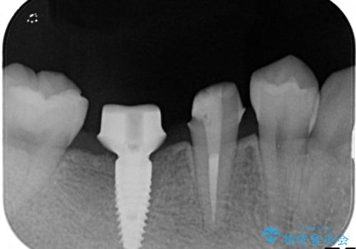
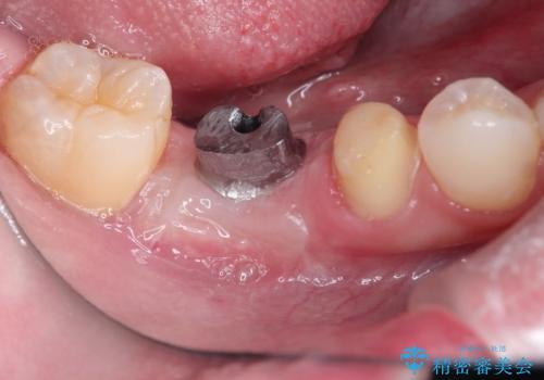
抜歯後インプラントをする計画としました。
- 費用(概算)
- 約40万円(インプラント部のみ)費用は治療当時の料金となります
治療について
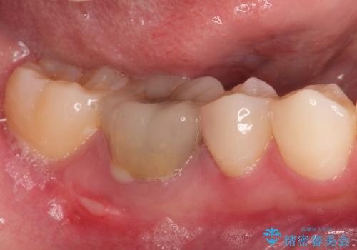
見た目では問題がなさそうでも、レントゲン撮影・診査を行うと状態が悪くなっていることがあります。
インプラント治療の注意事項(リスク・副作用など)
- 外科手術のため、術後に痛みや腫れ、違和感を伴います
- メンテナンスを怠ったり喫煙により、お口の中に大きな悪影響を及ぼすインプラント周囲炎等にかかる可能性があります
- 糖尿病、肝硬変、心臓病等の場合、インプラント治療ができない可能性があります
- 高血圧、貧血・不整脈等の場合、インプラント治療後に治癒不全を招く可能性があります
- 自費診療(保険適用外治療)となります
当サイトの内容、テキスト、画像等の無断転載、複製、複写、盗用を固く禁じます。


















