症例詳細
Case detail
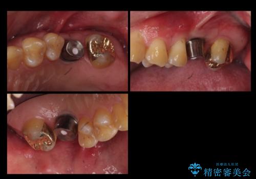
上の奥歯のインプラント、全体的な虫歯治療
治療症例の内容
- 患者様
- 30代男性
- 治療期間
- 6ヶ月
- 治療回数
- 5-10回
- 治療計画
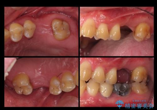
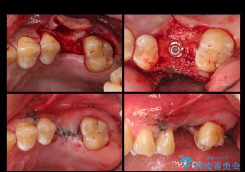
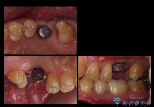
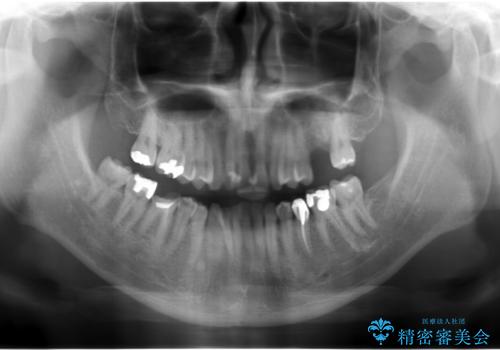
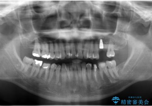
- 上の奥歯が無いところにインプラントを希望して来院。
外国人の患者様で、複数の歯科に話を聞きに行ったとのことでした。
英語での対応でした。
説明に時間を取り、苦労した部分もありましたが、結果大変満足していただけました。
- 費用(概算)
- 93万円 内訳:ストローマンインプラント(1本)62万円(静脈麻酔、再生療法、骨増生、ソケットリフト含む) 、虫歯治療(4本) 36万円 費用は治療当時の料金となります
治療について
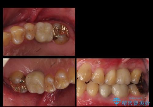
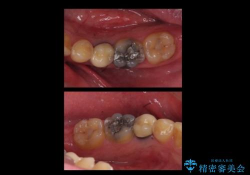
インプラントの向かい合わせの歯や隣の歯の虫歯治療も併せて行なっています。
同時期に治療することで咬み合わせの調整がしやすく、また、適合の良いものを作成できるメリットがあります。
治療の内訳
左上6:インプラント(ストローマン)20万円、カスタムアバットメント10万円、スクリューリテイン仮歯2万円、ジルコニアクラウン10万円、ソケットリフト10万円、マイナーGBR 5万円、静脈麻酔(麻酔認定医)5万円
左上7・左下7:PGAインレー 各6万円
左下5:仮歯 1万円、ジルコニアクラウン10万円、ファイバーコア 2万円
左下6:仮歯1万円、ジルコニアクラウン10万円
クラウンは全てスタンダードです。
インプラント治療の注意事項(リスク・副作用など)
- 外科手術のため、術後に痛みや腫れ、違和感を伴います
- メンテナンスを怠ったり喫煙により、お口の中に大きな悪影響を及ぼすインプラント周囲炎等にかかる可能性があります
- 糖尿病、肝硬変、心臓病等の場合、インプラント治療ができない可能性があります
- 高血圧、貧血・不整脈等の場合、インプラント治療後に治癒不全を招く可能性があります
- 自費診療(保険適用外治療)となります
PGA(ゴールド)クラウン、インレーの注意事項(リスク・副作用など)
- インレーおよびクラウンは脱離するリスクがあります
- 形成量はセラミックより少ないですが、歯の形成、修復後に歯に症状が出ることがあります
- 自費診療(保険適用外治療)となります
セラミック治療の注意事項(リスク・副作用など)
- 天然歯を削ります
- 硬い素材は天然歯を傷つけてしまう場合があります
- かみ合わせや歯ぎしりが強すぎる方はセラミックが割れてしまう可能性があります
- 自費診療(保険適用外治療)となります
当サイトの内容、テキスト、画像等の無断転載、複製、複写、盗用を固く禁じます。
















