症例詳細
Case detail
つめものが取れたのを放置 神経の治療からやりかえ
治療症例の内容
- 診療科目
- 担当医
- 井上季実子(ドクタープロフィール)
- 患者様
- 30代男性
- 治療期間
- 2ヶ月
- 治療回数
- 2-5回
- 治療計画
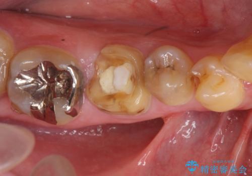
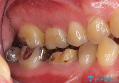
- 奥歯のかぶせものが取れたのと、手前の歯の虫歯治療を希望して来院。
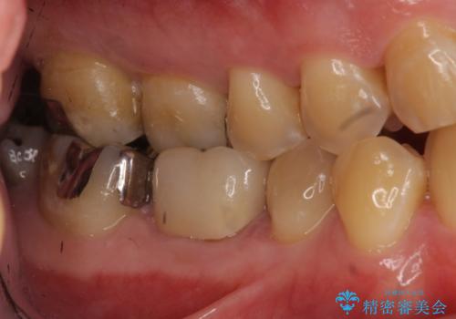
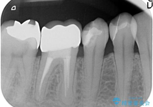
奥歯は神経の治療からやり直し、セラミッククラウンとしました。
手前の歯は1本は虫歯、もう一本もつめものが取れたままでしたので、セラミックインレーとしました。
大臼歯の再根管治療は横浜桜木町歯科院長 大元先生が担当しました。
- 費用(概算)
- 40万円 内訳:右下6(再根管治療13万円、ジルコニアクラウン10万円、ファイバーコア2万円、仮歯1万円)、右下45(セラミックインレー7万円x2本)費用は治療当時の料金となります
治療について
右下6番は、歯肉縁下カリエスではなかったため、そのまま補綴することが可能でした。
セラミック治療の注意事項(リスク・副作用など)
- 天然歯を削ります
- 硬い素材は天然歯を傷つけてしまう場合があります
- かみ合わせや歯ぎしりが強すぎる方はセラミックが割れてしまう可能性があります
- 自費診療(保険適用外治療)となります
当サイトの内容、テキスト、画像等の無断転載、複製、複写、盗用を固く禁じます。








