症例詳細
Case detail
舌側の骨隆起切除とセラミックインレーによるむし歯治療
治療症例の内容
- 診療科目
- 治療カテゴリ
- 担当医
- 藤巻太一朗(ドクタープロフィール)
- 患者様
- 40代男性
- 治療期間
- 1ヶ月
- 治療回数
- 2-5回
- 治療計画
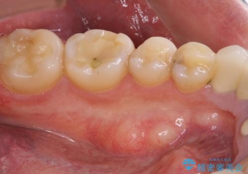
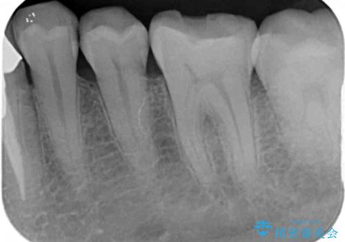
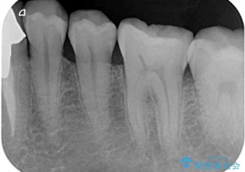
- 張り出している骨隆起による話しにくさを気にして来院された患者様です。
目視でも大きいと分かる骨隆起が認められたため、歯肉を切開した上で切除することとしました。
また、付近の歯に大きなむし歯が認められたため、セラミックインレーによる修復治療も行うこととしました。
- 費用(概算)
- 治療費の目安: 17万円費用は治療当時の料金となります
治療について
舌の下方に対する外科処置であるため、術後に飲み込みが辛くなったり、顎の下に痛みを感じたりすることがあります。
セラミック治療の注意事項(リスク・副作用など)
- 天然歯を削ります
- 硬い素材は天然歯を傷つけてしまう場合があります
- かみ合わせや歯ぎしりが強すぎる方はセラミックが割れてしまう可能性があります
- 自費診療(保険適用外治療)となります
外科処置の注意事項(リスク・副作用など)
- 外科手術のため、術後に出血、痛みや腫れ、違和感を伴います
- 口腔内の状態によっては適応できないことがあります
当サイトの内容、テキスト、画像等の無断転載、複製、複写、盗用を固く禁じます。










