症例詳細
Case detail
ホワイトニングと前歯のセラミック治療
治療症例の内容
- 診療科目
- 担当医
- 患者様
- 40代男性
- 治療期間
- 3ヶ月
- 治療回数
- 2-5回
- 治療計画
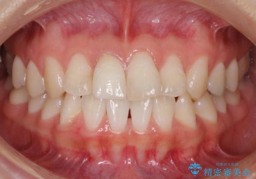
- 白く綺麗な歯にしたいとの主訴で来院されました。
被せ物と土台のやりかえと、すでに大きく虫歯治療がされていた歯はセラミックで被せる計画を立てました。
また、もともと色味のある歯については、ホワイトニングを行いました。
- 費用(概算)
- セラミック:28万円(4本) ホワイトニング:1万円費用は治療当時の料金となります
治療について
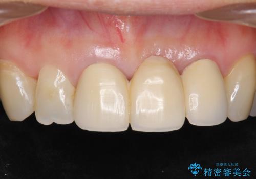
もともと被せ物が入っていたり、大きく虫歯治療がしてあったりした歯はセラミックで新たにかぶせ直しをしました。
犬歯については、セラミックを被せるために全周を大きく削るほどではないと考え、詰め物の詰め替えとホワイトニングで対応しました。
セラミック治療の注意事項(リスク・副作用など)
- 天然歯を削ります
- 硬い素材は天然歯を傷つけてしまう場合があります
- かみ合わせや歯ぎしりが強すぎる方はセラミックが割れてしまう可能性があります
- 自費診療(保険適用外治療)となります
ホワイトニングの注意事項(リスク・副作用など)
- 知覚過敏が出ることがあります
- ホワイトバンドや白い斑点が出ることがあります
- クラウンやインレー等の補綴物には効果がありません
- ホワイトニングによる効果や持続期間には個人差があります
- 歯牙の状態によっては適応できないことがあります
- 保険適用外となります
当サイトの内容、テキスト、画像等の無断転載、複製、複写、盗用を固く禁じます。












