症例詳細
Case detail
吸収した骨の再生 前歯部インプラント治療
治療症例の内容
- 担当医
- 大元洋佑(ドクタープロフィール)
- 患者様
- 40代女性
- 治療期間
- 11ヶ月
- 治療回数
- 5-10回
- 治療計画
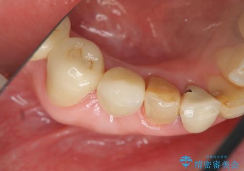
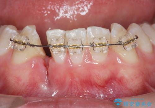
- 前歯の違和感、痛みの改善を希望され来院されました。
 X線写真および歯周組織検査より、歯の破折 周囲骨の高度な吸収が認められました。
 
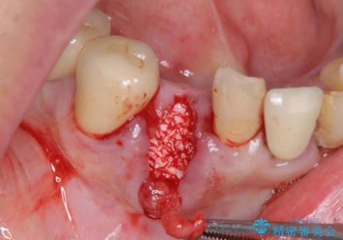
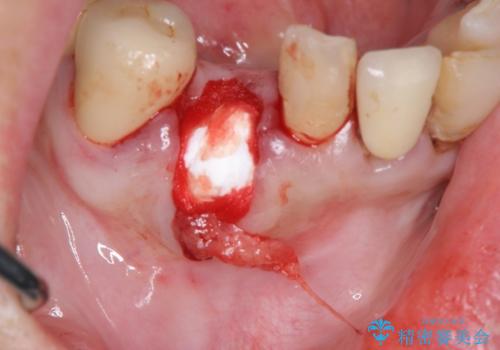
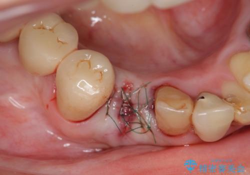
 抜歯後、インプラントによる審美・機能改善を希望されたのでインプラント埋入に先立ち吸収した骨の再生を計画します。
- 費用(概算)
- 50万円(ストローマンインプラント・骨造成・ジルコニアカスタムアバットメント・ジルコニアクラウン)費用は治療当時の料金となります
インプラント治療について
歯を失う原因が虫歯や根尖病変などはなく、歯周病や歯の破折等周囲の骨を吸収する原因の場合はインプラント治療を行うに先立ち骨の造成が必要なことがあります。
インプラント治療の注意事項(リスク・副作用など)
- 外科手術のため、術後に痛みや腫れ、違和感を伴います
- メンテナンスを怠ったり喫煙により、お口の中に大きな悪影響を及ぼすインプラント周囲炎等にかかる可能性があります
- 糖尿病、肝硬変、心臓病等の場合、インプラント治療ができない可能性があります
- 高血圧、貧血・不整脈等の場合、インプラント治療後に治癒不全を招く可能性があります
- 自費診療(保険適用外治療)となります
当サイトの内容、テキスト、画像等の無断転載、複製、複写、盗用を固く禁じます。








 
                       
                                                          

















 
                  ![[インプラント支台義歯] マグネットアタッチメントを用いた噛める入れ歯](https://seimitsushinbi.jp/wp/wp-content/uploads/2018/02/52c348bb308639517e2a1aae0dd81819-500x350.jpg) 
                  ![[ 重度虫歯治療 ] ブリッジ・インプラントによる咬合・審美回復①](https://seimitsushinbi.jp/wp/wp-content/uploads/2018/11/c902d97481875dca864043b07ebf7c87-500x339.jpg) 
                  