症例詳細
Case detail
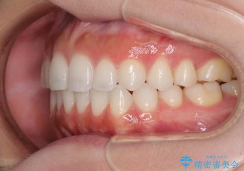
前歯のオープンバイトを治したい インビザラインでの矯正治療
治療症例の内容
- 診療科目
- 治療カテゴリ
- 担当医
- 藤巻太一朗(ドクタープロフィール)
- 患者様
- 20代女性
- 矯正装置
- インビザライン
- 治療期間
- 10ヶ月
- 治療回数
- 5-10回
- 治療計画
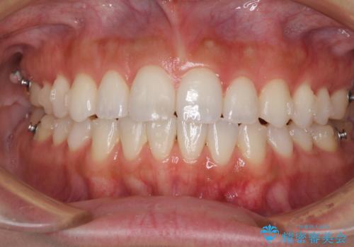
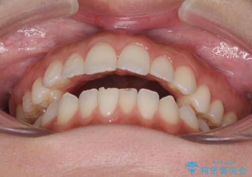
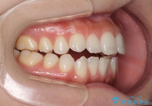
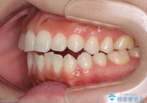
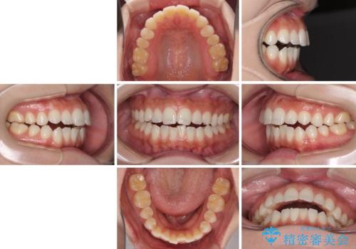
- 前歯の上下スペースによる話しにくさと顎への負担を気にして来院された患者様です。
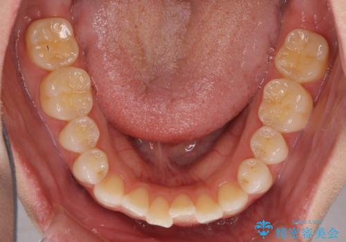
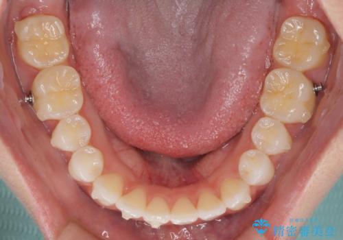
インビザラインにより上顎の大臼歯を圧下し、上下の前歯の隙間を閉じていくこととしました。
- 費用(概算)
- 治療費の目安: 80万円費用は治療当時の料金となります
治療について
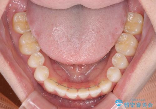
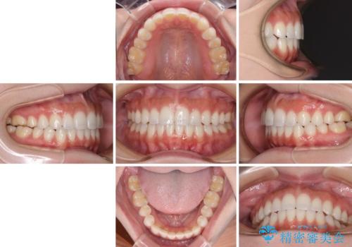
上顎の奥歯を圧下させることで、上下前歯を接触させるように計画しました。
前歯が急に接触するようになり、慣れるまで時間がかかりましたが、前歯でものが咬めるようにもなり、患者様には大変満足していただきました。
マウスピース矯正の注意事項(リスク・副作用など)
- 口腔内・歯並びの状態によっては対応できない場合があります
- マウスピース型矯正装置の長時間装着(1日20時間以上)が必須です
- 治療計画通りに進めるためには、患者様の意志が重要になります
- 矯正治療後の保定が不十分だと後戻り(元の位置に戻ろうとする動き)をします
- 薬機法対象外の矯正歯科装置のため医薬品副作用被害救済制度の対象外となる場合があります
- 自費診療(保険適用外)となります
当サイトの内容、テキスト、画像等の無断転載、複製、複写、盗用を固く禁じます。


























