症例詳細
Case detail
見える銀歯を白く
治療症例の内容
- 診療科目
- 治療カテゴリ
- 担当医
- 大元洋佑(ドクタープロフィール)
- 患者様
- 20代男性
- 治療期間
- 治療回数
- 2-5回
- 治療計画
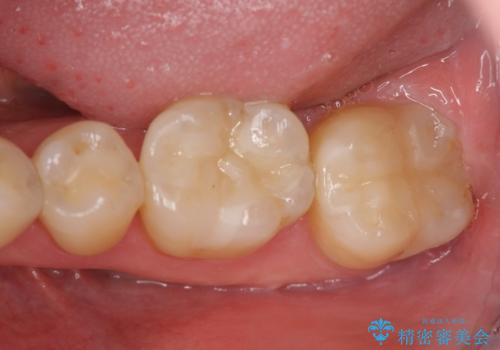
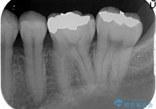
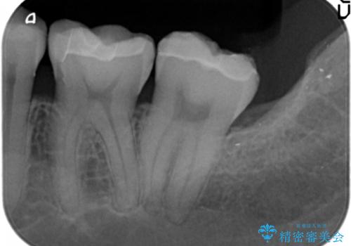
- 笑った時に見える下顎の銀歯を白くしたいと希望され来院されました。
銀歯を丁寧に外したのち、セラミックインレーによる修復を計画します。
- 費用(概算)
- 14万円 セラミックインレー×2費用は治療当時の料金となります
下顎の銀歯治療について
笑った時に見える銀歯を白くすることで口の中が明るい印象になります。
セラミック治療の注意事項(リスク・副作用など)
- 天然歯を削ります
- 硬い素材は天然歯を傷つけてしまう場合があります
- かみ合わせや歯ぎしりが強すぎる方はセラミックが割れてしまう可能性があります
- 自費診療(保険適用外治療)となります
当サイトの内容、テキスト、画像等の無断転載、複製、複写、盗用を固く禁じます。




