症例詳細
Case detail
- 患者様
- 20代女性
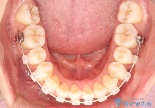
- 矯正装置
- 審美装置
- 治療期間
- 2年2ヶ月
- 治療回数
- 10-30回
- 治療計画
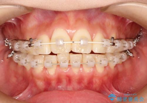
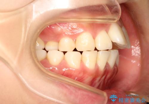
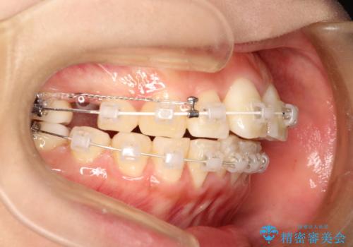
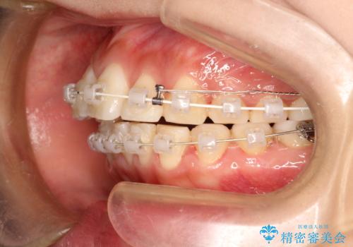
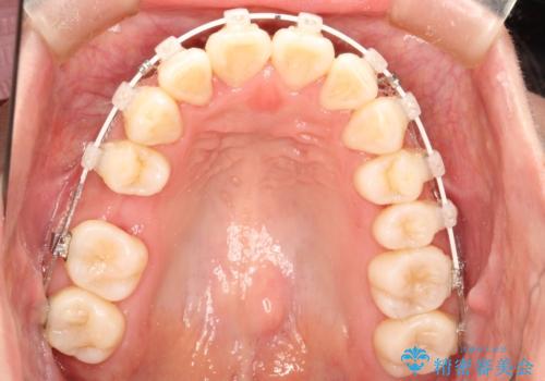
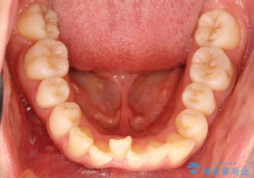
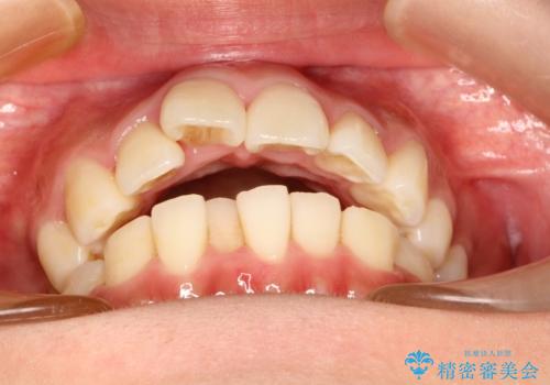
- 上の前歯が出てて、前歯で咬めないとのことで来院されました。
上顎の歯を1本抜歯して、前歯のガタガタと、前方に出ているのを改善する計画としました。
- 費用(概算)
- 約100万円費用は治療当時の料金となります
治療について
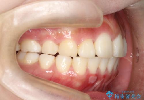
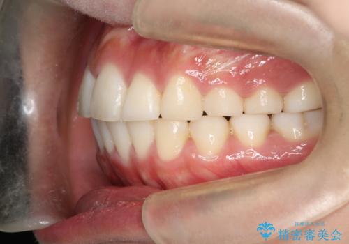
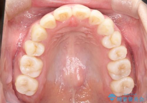
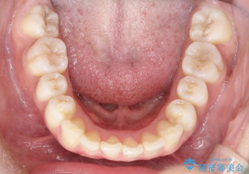
上下の前歯の距離が近くなり、前歯で咬みやすくなり、審美的にも改善できました。
ワイヤー矯正の注意事項(リスク・副作用など)
- 治療中は違和感や痛みが起こることがあります
- 症状により、抜歯が必要な場合があります
- 治療中は歯磨きがしにくくなるため、虫歯や歯周病になりやすくなります
- 矯正治療後の保定が不十分だと後戻り(元の位置に戻ろうとする動き)をします
- 自費診療(保険適用外)となります
当サイトの内容、テキスト、画像等の無断転載、複製、複写、盗用を固く禁じます。


















