症例詳細
Case detail
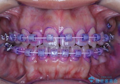
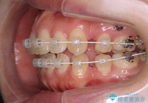
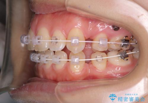
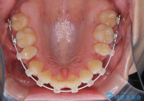
ワイヤー矯正中のクリーニング
治療症例の内容
- 診療科目
- 治療カテゴリ
- 患者様
- 20代女性
- 治療期間
- 1日
- 治療回数
- 1回
- 治療計画
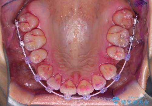
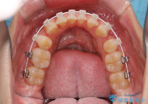
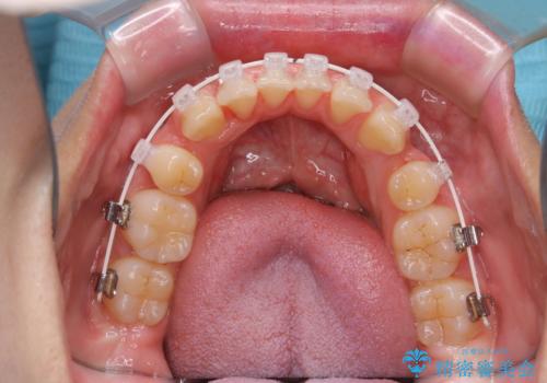
- ワイヤー矯正中に、磨ききれないところがあるのと、口臭が気になるとのことでした。
そのためPMTC30分コースを行いました。
- 費用(概算)
- 5千円+tax費用は治療当時の料金となります
治療について
ワイヤー矯正中は、装置の周りに汚れが付きやすく虫歯や歯周病のリスクが高まります。そのため、ワイヤー調整の診察の際、一緒にクリーニングを行うことで、虫歯・歯周病・口臭予防になります。歯ブラシだけでは取り除くことが難しい細かい部分などに、専門的な機械や機材を使用して定期的なケアを行うことをおすすめしています。
担当歯科衛生士
表参道しらゆり歯科 西澤
PMTCの注意事項(リスク・副作用など)
- 歯を白くする目的の施術ではありません
- 保険適用外となります
当サイトの内容、テキスト、画像等の無断転載、複製、複写、盗用を固く禁じます。















