症例詳細
Case detail
広範囲にわたる虫歯をセラミックで治療
治療症例の内容
- 診療科目
- 治療カテゴリ
- 担当医
- 患者様
- 20代男性
- 治療期間
- 1ヶ月
- 治療回数
- 2-5回
- 治療計画
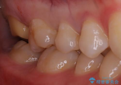
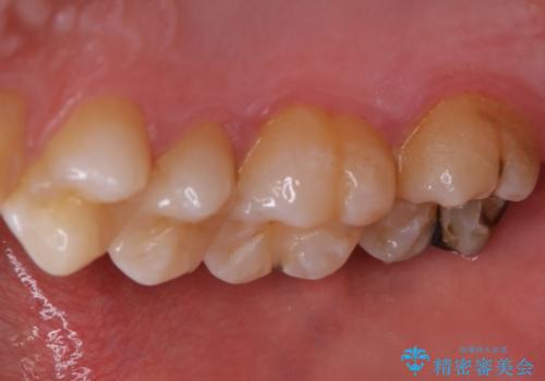
- 他県より引っ越しをされたため、途中になってしまっている虫歯治療の続きをしてほしいと来院された患者様です。
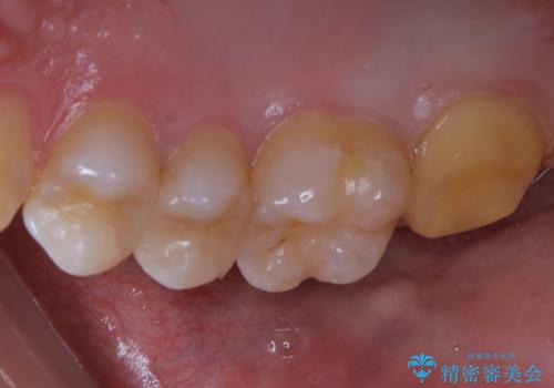
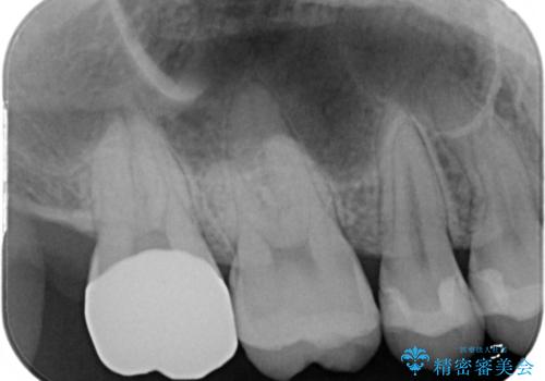
痛み等の自覚症状はありませんでしたが、広範囲にわたる虫歯を認めたため、セラミッククラウンによる治療を行いました。
- 費用(概算)
- 8万円費用は治療当時の料金となります
治療について
奥の歯は歯ブラシが届きづらく、気づかないうちにプラークが蓄積して虫歯の発生源となっていることがあります。
被せ物について
今回のケースでは、一番奥の歯の後ろ側に向かって虫歯が進行していました。一番奥の歯は元々の歯の高さが低いことが多く、被せ物が割れるリスクが増加したり、被せ物が外れやすくなる場合があります。歯牙切削量の少ないゴールドアンレーもご提案しましたが、セラミックをご希望されたため、今回はクラウンによる治療を行いました。
セラミック治療の注意事項(リスク・副作用など)
- 天然歯を削ります
- 硬い素材は天然歯を傷つけてしまう場合があります
- かみ合わせや歯ぎしりが強すぎる方はセラミックが割れてしまう可能性があります
- 自費診療(保険適用外治療)となります
当サイトの内容、テキスト、画像等の無断転載、複製、複写、盗用を固く禁じます。








