症例詳細
Case detail
失った歯のインプラントでの咬合回復
治療症例の内容
- 担当医
- 患者様
- 40代女性
- 治療期間
- 5ヶ月
- 治療回数
- 5-10回
- 治療計画
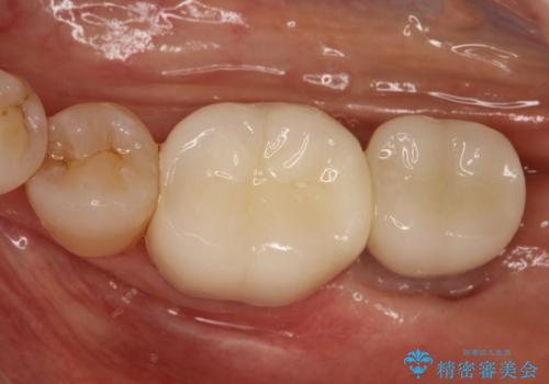
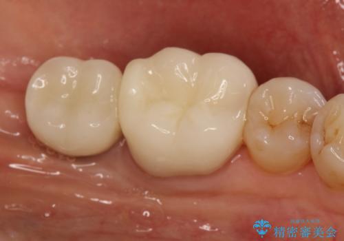
- 左下の1番後方の歯が欠損しており、インプラントにて咬合回復する計画としました。
レントゲン・CT撮影により骨の高さがあまりないことがわかり、ショートインプラントを選択しました。
また、清掃性を確保するために歯肉の移植も行うこととしました。
- 費用(概算)
- 約45万円(インプラント部のみ)費用は治療当時の料金となります
治療について
当グループでは複数のメーカーのインプラントを扱っております。
診査・診断のうえ、最適なインプラントや術式の選択を行い、治療方法のご提案をさせていただきます。
インプラント治療の注意事項(リスク・副作用など)
- 外科手術のため、術後に痛みや腫れ、違和感を伴います
- メンテナンスを怠ったり喫煙により、お口の中に大きな悪影響を及ぼすインプラント周囲炎等にかかる可能性があります
- 糖尿病、肝硬変、心臓病等の場合、インプラント治療ができない可能性があります
- 高血圧、貧血・不整脈等の場合、インプラント治療後に治癒不全を招く可能性があります
- 自費診療(保険適用外治療)となります
当サイトの内容、テキスト、画像等の無断転載、複製、複写、盗用を固く禁じます。














