症例詳細
Case detail
奥歯のインプラント ソケットリフト 60代男性
治療症例の内容
- 担当医
- 患者様
- 60代男性
- 治療期間
- 6ヶ月
- 治療回数
- 5-10回
- 治療計画
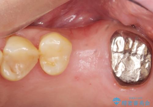
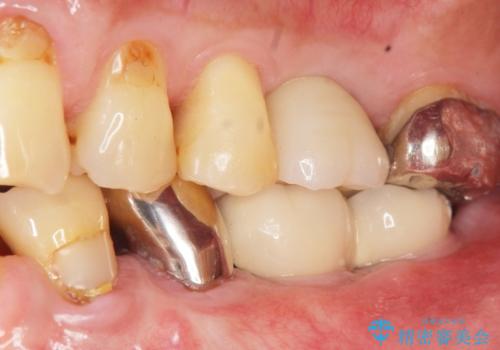
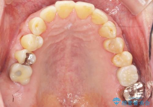
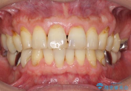
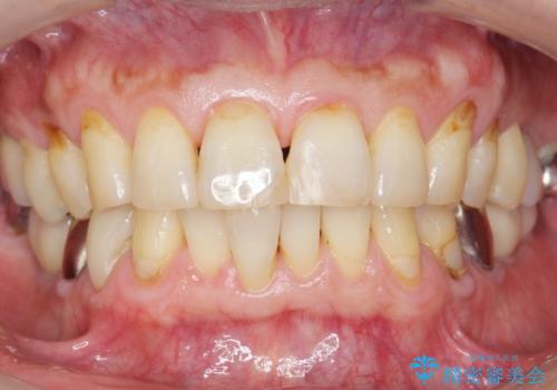
- 奥歯のインプラントをご希望し、来院された患者様です。
精査したところ上顎骨の厚みが薄かったため、ソケットリフト(上顎洞底挙上術)を併用してインプラント治療を行いました。
- 費用(概算)
- ¥430,000 (ソケットリフト、インプラント、アバットメント、仮歯、クラウン)費用は治療当時の料金となります
治療について
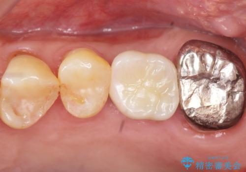
審美的・機能的な仕上がりに喜んで下さいました。
また、半年という比較的短期間でインプラント治療が終わったことにもご満足頂けました。
インプラントの種類:スプライン ツイスト (保証期間:5年)
クラウンの種類:ベレッツァクラウン (オールセラミック)
固定様式:セメント固定
インプラント治療の注意事項(リスク・副作用など)
- 外科手術のため、術後に痛みや腫れ、違和感を伴います
- メンテナンスを怠ったり喫煙により、お口の中に大きな悪影響を及ぼすインプラント周囲炎等にかかる可能性があります
- 糖尿病、肝硬変、心臓病等の場合、インプラント治療ができない可能性があります
- 高血圧、貧血・不整脈等の場合、インプラント治療後に治癒不全を招く可能性があります
- 自費診療(保険適用外治療)となります
セラミック治療の注意事項(リスク・副作用など)
- 天然歯を削ります
- 硬い素材は天然歯を傷つけてしまう場合があります
- かみ合わせや歯ぎしりが強すぎる方はセラミックが割れてしまう可能性があります
- 自費診療(保険適用外治療)となります
当サイトの内容、テキスト、画像等の無断転載、複製、複写、盗用を固く禁じます。




















