症例詳細
Case detail
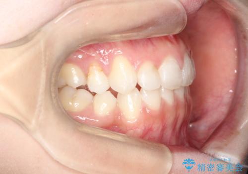
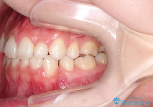
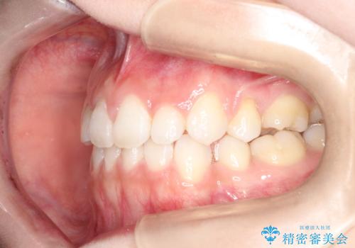
前歯の後戻りを部分矯正で整った歯並びへ
治療症例の内容
- 診療科目
- 担当医
- 患者様
- 20代女性
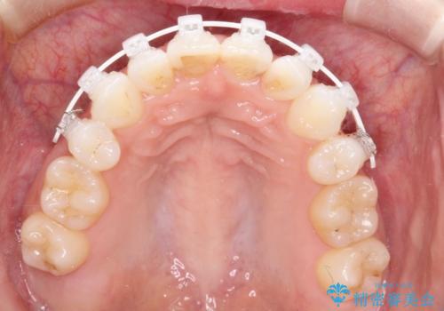
- 矯正装置
- 審美装置
- 治療期間
- 5ヶ月
- 治療回数
- 2-5回
- 治療計画
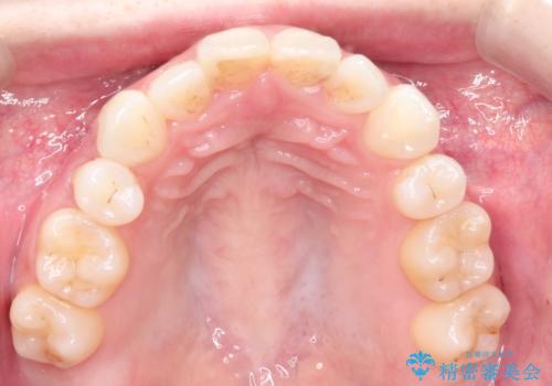
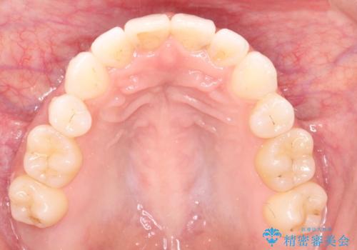
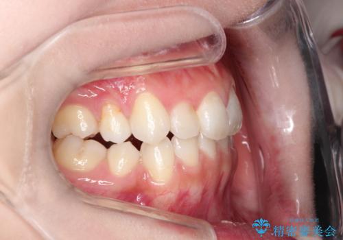
- 矯正治療後の上の前歯の後戻りを気にされて来院されました。
上の前歯のみにブラケットをつけて矯正治療を行いました。
- 費用(概算)
- 約30万円費用は治療当時の料金となります
治療について
部分矯正は、わずかなガタつき、ずれには有効的です。
ただし、場合によっては部分矯正では対応できないこともあり、その時は全体矯正が必要となります。
ワイヤー矯正の注意事項(リスク・副作用など)
- 治療中は違和感や痛みが起こることがあります
- 症状により、抜歯が必要な場合があります
- 治療中は歯磨きがしにくくなるため、虫歯や歯周病になりやすくなります
- 矯正治療後の保定が不十分だと後戻り(元の位置に戻ろうとする動き)をします
- 自費診療(保険適用外)となります
当サイトの内容、テキスト、画像等の無断転載、複製、複写、盗用を固く禁じます。












