症例詳細
Case detail
前歯のデコボコと突出感 インビザラインで改善
治療症例の内容
- 担当医
- 藤巻太一朗(ドクタープロフィール)
- 患者様
- 20代女性
- 矯正装置
- インビザライン
- 治療期間
- 2年3ヶ月
- 治療回数
- 10-30回
- 治療計画
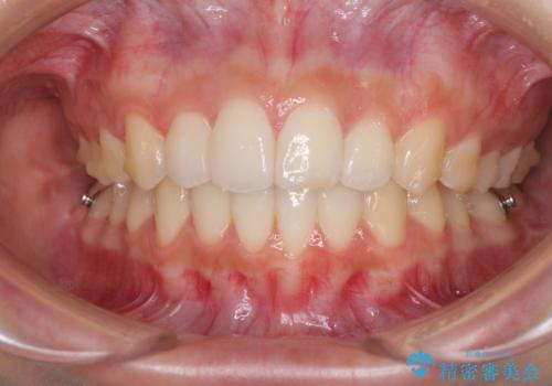
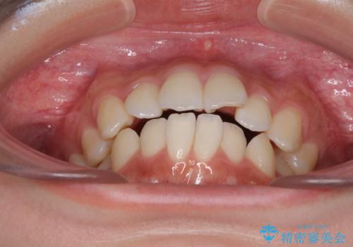
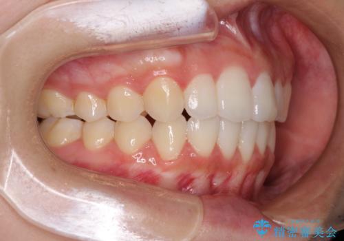
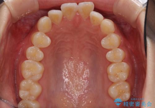
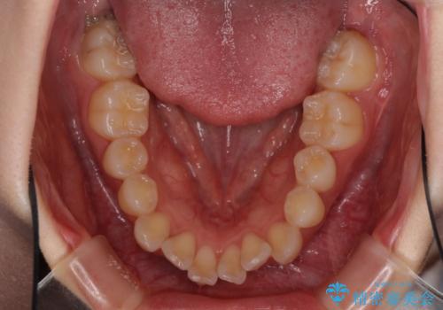
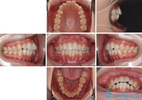
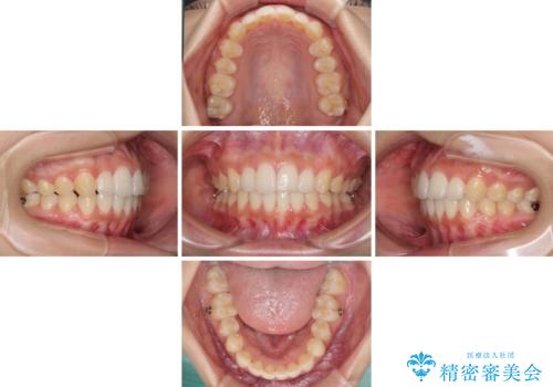
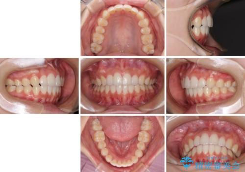
- 上下前歯のデコボコを気にして来院された患者様です。
インビザラインによる上下歯列の側方拡大と後方移動、IPR(歯と歯の間を削る)にるスペースの獲得により歯列を整えることとしました。
- 費用(概算)
- 治療費の目安: 75万円費用は治療当時の料金となります
治療について
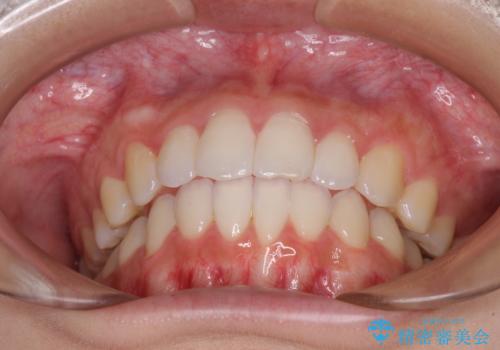
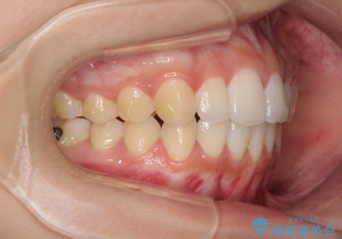
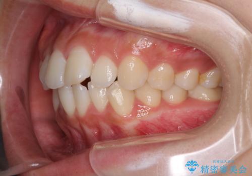
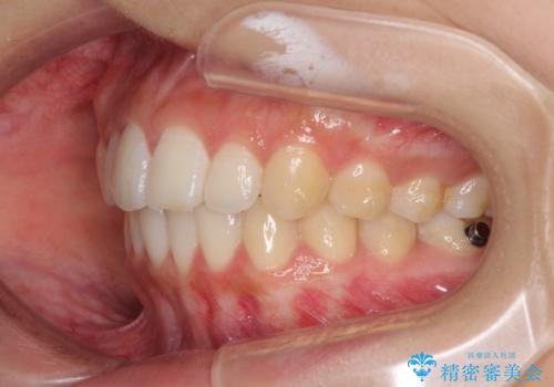
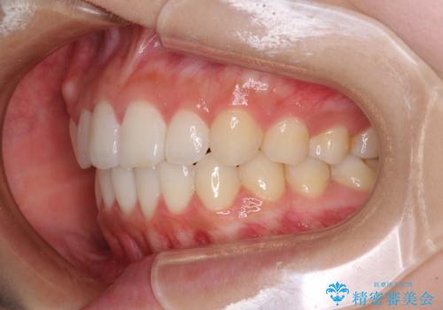
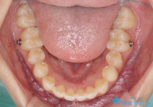
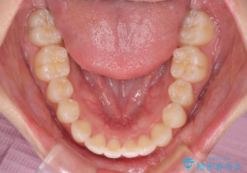
骨格的な左右差があったため、上下の正中を合わせることは困難かと思われましたが、何とか合わせることができました。
一方、骨格の差は改善できないため、奥歯の咬み合わせに物足りなさを感じました。
奥歯の咬み合わせによる不自由はなく、患者様に大変満足していただきました。
マウスピース矯正の注意事項(リスク・副作用など)
- 口腔内・歯並びの状態によっては対応できない場合があります
- マウスピース型矯正装置の長時間装着(1日20時間以上)が必須です
- 治療計画通りに進めるためには、患者様の意志が重要になります
- 矯正治療後の保定が不十分だと後戻り(元の位置に戻ろうとする動き)をします
- 薬機法対象外の矯正歯科装置のため医薬品副作用被害救済制度の対象外となる場合があります
- 自費診療(保険適用外)となります
当サイトの内容、テキスト、画像等の無断転載、複製、複写、盗用を固く禁じます。


























