症例詳細
Case detail
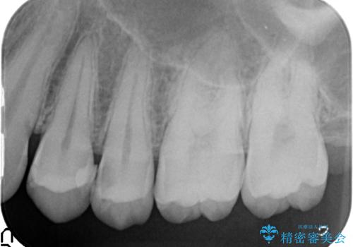
X線撮影によりわかる、内在する虫歯治療
治療症例の内容
- 診療科目
- 治療カテゴリ
- 担当医
- 大元洋佑(ドクタープロフィール)
- 患者様
- 30代女性
- 治療期間
- 1ヶ月
- 治療回数
- 2-5回
- 治療計画
- 長年歯医者にかかっておらず、虫歯の検診を希望され来院されました。
X線検査により、歯の変色部は大きな虫歯が内在することがわかりました。
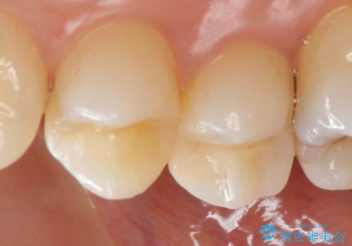
マイクロスコープで神経を保存できるよう丁寧に虫歯を除去したのちセラミックインレーにて高精度な修復を行っていきます。
- 費用(概算)
- 14万円(emaxインレー×2)費用は治療当時の料金となります
セラミック治療について
セラミック治療は精密な歯牙形態の形成、シリコン印象により高い精度と審美性・予知性が達成されます。
セラミック治療の注意事項(リスク・副作用など)
- 天然歯を削ります
- 硬い素材は天然歯を傷つけてしまう場合があります
- かみ合わせや歯ぎしりが強すぎる方はセラミックが割れてしまう可能性があります
- 自費診療(保険適用外治療)となります
当サイトの内容、テキスト、画像等の無断転載、複製、複写、盗用を固く禁じます。






