症例詳細
Case detail
オールセラミッククラウン 被せ物の継ぎ目が気になる
治療症例の内容
- 診療科目
- 治療カテゴリ
- 担当医
- 患者様
- 20代女性
- 治療期間
- 1ヶ月
- 治療計画
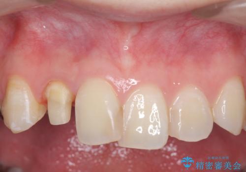
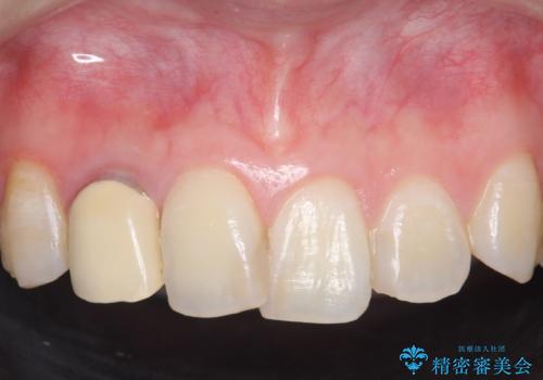
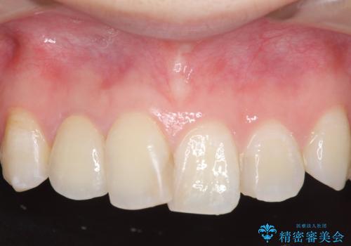
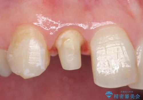
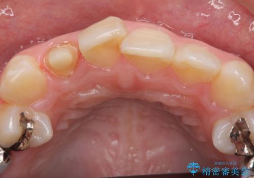
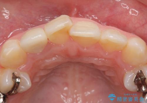
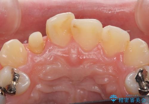
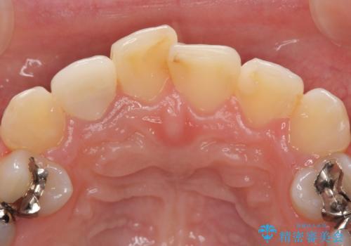
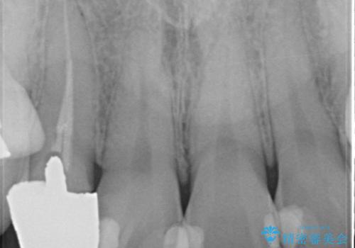
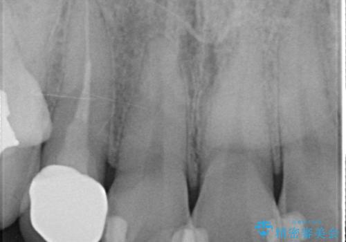
- 右上2番目の歯の被せ物と歯茎の間の継ぎ目が気になるといらっしゃった方の症例です。
再根管治療は希望されなかったため、クラウン除去後、オールセラミッククラウン(スペシャル)による補綴を行いました。
- 費用(概算)
- オールセラミッククラウン(スペシャル)…¥130,000、仮歯…¥10,000、ファイバーコア…¥20,000費用は治療当時の料金となります
オールセラミッククラウン(スペシャル、エクセレント)について
前歯の補綴ではオールセラミッククラウンを希望される患者様が多いですが、オールセラミッククラウンの中でも、エコノミー、スタンダード、スペシャル、エクセレントとランクがあります。
その中でも特に審美性が高いのがスペシャル、エクセレントです。スペシャル、エクセレントは口腔内写真をもとに熟練の技工士が、患者様の口腔内に合わせたオーダーメイドのクラウンを製作致します。
セラミック治療の注意事項(リスク・副作用など)
- 天然歯を削ります
- 硬い素材は天然歯を傷つけてしまう場合があります
- かみ合わせや歯ぎしりが強すぎる方はセラミックが割れてしまう可能性があります
- 自費診療(保険適用外治療)となります
当サイトの内容、テキスト、画像等の無断転載、複製、複写、盗用を固く禁じます。















