症例詳細
Case detail
歯ぐきにニキビのようなものができた:原因から改善、被せ物まで
治療症例の内容
- 診療科目
- 治療カテゴリ
- 担当医
- 患者様
- 40代女性
- 治療期間
- 2ヶ月
- 治療回数
- 2-5回
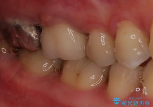
- 治療計画
- 元々は別の部位の治療で通われていた患者様でしたが、ニキビのようなものが繰り返しできたり消えたりするとのことで、治療介入を行いました。
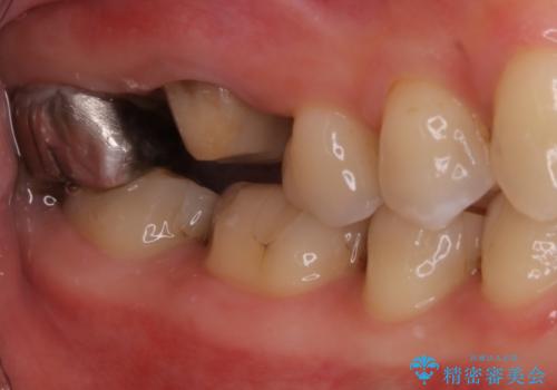
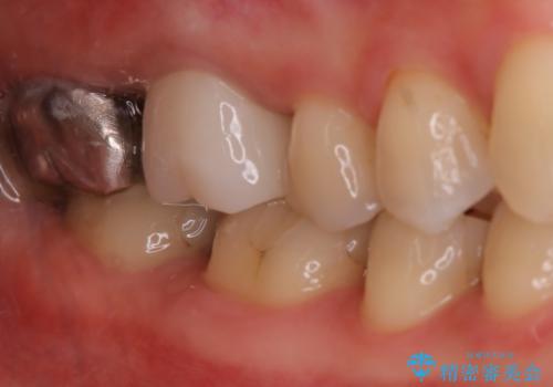
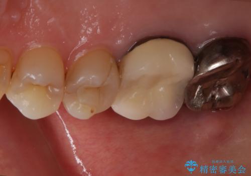
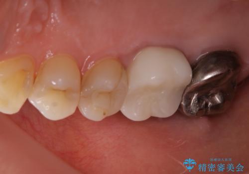
根管治療を再度行うことでフィステル(ニキビのようなできもの)は消失しました。最終的にセラミッククラウンによる補綴治療を行いました。
精密根管治療(リトリートメント)は福本院長に行っていただきました。
- 費用(概算)
- 9万円(精密根管治療は別途)費用は治療当時の料金となります
治療について
根の病気に対しての治療を行う際、特に再治療の場合においては、無菌的な処置を行うことはもちろん、十分な知識と技術を持つ歯科医師による治療をお勧めしています。
今回の患者様も院長による治療をご希望されたため、福本院長に精密根管治療を行っていただきました。
被せ物について
適合不良の補綴物は二次的な虫歯発生のリスクが高まります。
自費診療で用いられる材料は保険適応の材料に比べて、より精密で適合の良い被せ物作ることができるため、長期的な虫歯のリスクを大幅に減らすことが可能です。
セラミック治療の注意事項(リスク・副作用など)
- 天然歯を削ります
- 硬い素材は天然歯を傷つけてしまう場合があります
- かみ合わせや歯ぎしりが強すぎる方はセラミックが割れてしまう可能性があります
- 自費診療(保険適用外治療)となります
当サイトの内容、テキスト、画像等の無断転載、複製、複写、盗用を固く禁じます。








