症例詳細
Case detail
- 患者様
- 20代女性
- 矯正装置
- 審美装置
- 治療期間
- 2年6ヶ月
- 治療回数
- 10-30回
- 治療計画
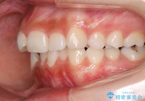
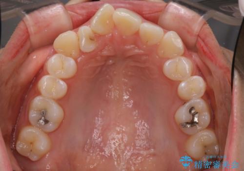
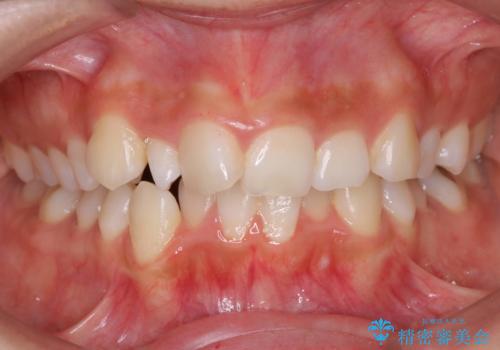
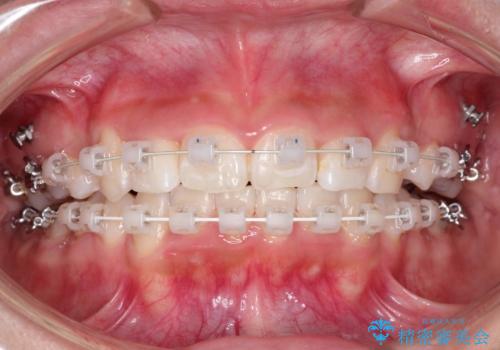
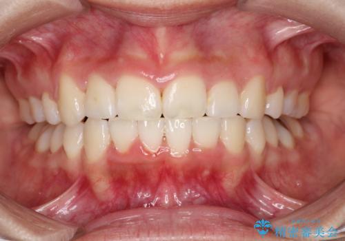
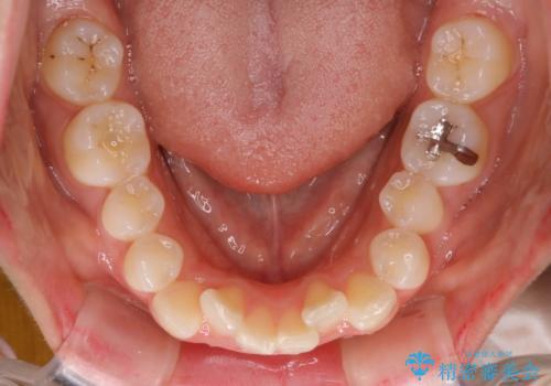
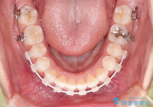
- 前歯のがたつきと出っ歯が気になるとのことで来院されました。
上顎の前から4番目の歯を両側合計2本抜歯して矯正することとなりました。
- 費用(概算)
- 約95万円費用は治療当時の料金となります
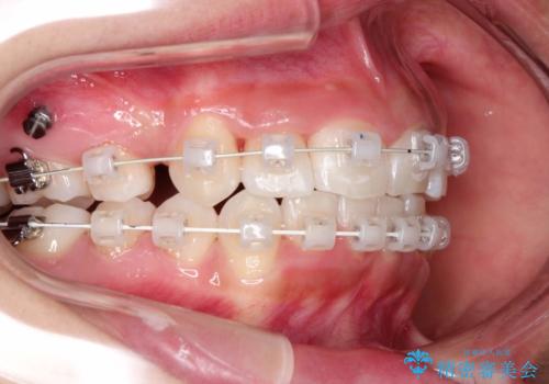
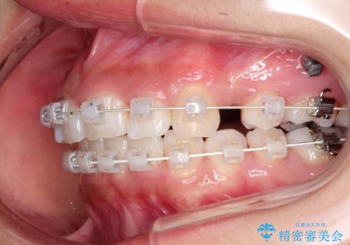
治療について
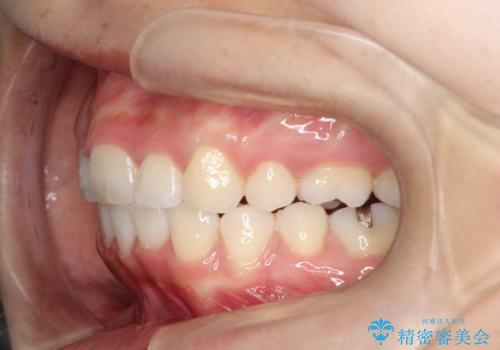
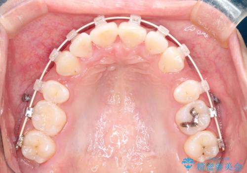
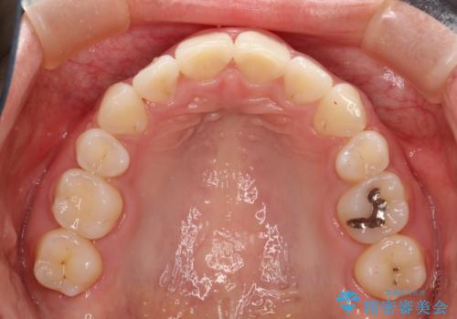
抜歯をして矯正をすることで、前歯を後方に移動させ、ガタガタを改善することができました。
ワイヤー矯正の注意事項(リスク・副作用など)
- 治療中は違和感や痛みが起こることがあります
- 症状により、抜歯が必要な場合があります
- 治療中は歯磨きがしにくくなるため、虫歯や歯周病になりやすくなります
- 矯正治療後の保定が不十分だと後戻り(元の位置に戻ろうとする動き)をします
- 自費診療(保険適用外)となります
当サイトの内容、テキスト、画像等の無断転載、複製、複写、盗用を固く禁じます。

















