症例詳細
Case detail
出っ歯の抜歯矯正 裏側ワイヤーによる目立たない矯正
治療症例の内容
- 診療科目
- 治療カテゴリ
- 担当医
- 患者様
- 20代男性
- 治療期間
- 3年
- 治療回数
- 10-30回
- 治療計画
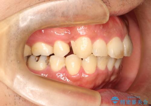
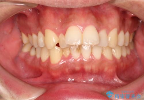
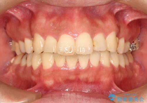
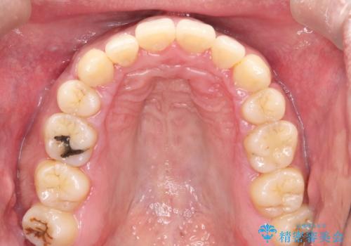
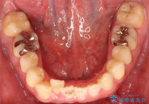
- 出っ歯が気になるとのことで来院されました。
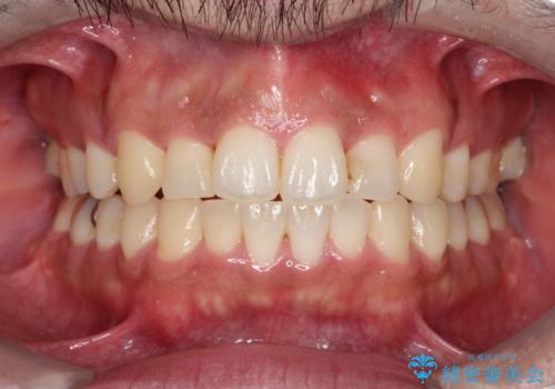
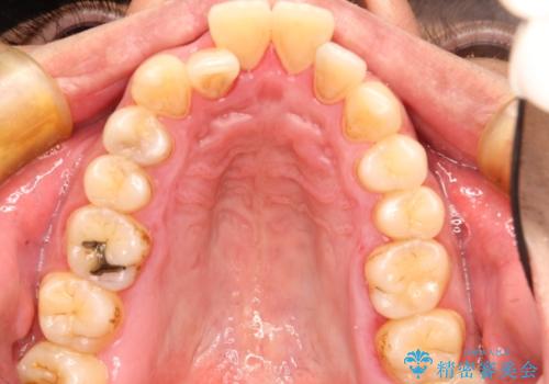
上顎の前から4番目の歯を両側、合計2本抜歯して矯正する計画としました。
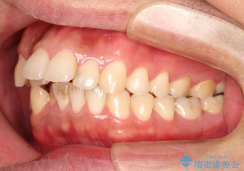
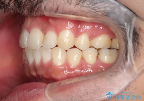
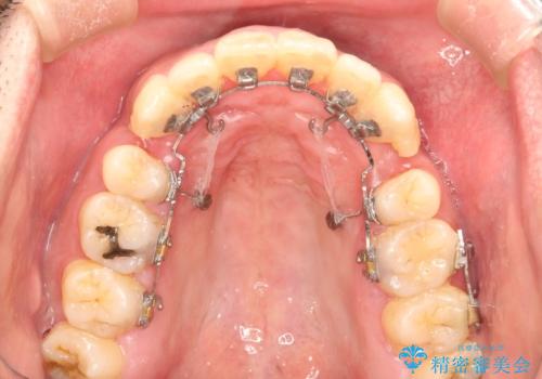
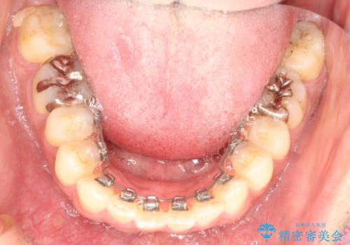
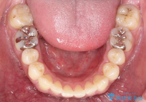
目立たない装置がご希望でしたので、上下裏側ワイヤー装置を選択されました。
- 費用(概算)
- 約130万円費用は治療当時の料金となります
治療について
裏側矯正は目立たないという利点がありますが、歯ブラシが非常に難しいなどのデメリットもあります。
ワイヤー矯正の注意事項(リスク・副作用など)
- 治療中は違和感や痛みが起こることがあります
- 症状により、抜歯が必要な場合があります
- 治療中は歯磨きがしにくくなるため、虫歯や歯周病になりやすくなります
- 矯正治療後の保定が不十分だと後戻り(元の位置に戻ろうとする動き)をします
- 自費診療(保険適用外)となります
当サイトの内容、テキスト、画像等の無断転載、複製、複写、盗用を固く禁じます。



















